Переломы костей таза относятся к наиболее опасным повреждениям и представляют одну из самых сложных проблем в хирургической практике. Данное патологическое состояние встречается чаще среди молодых пациентов, и её распространённость составляет приблизительно 3 % от общего числа травм опорно-двигательного аппарата. Летальность до сих пор остаётся высокой. 1-е место занимают переломы лобковых костей, которые отмечаются в 70 % случаях среди повреждений костей таза.
Лобковая кость входит в состав костей таза и состоит из 2 парных лонных, формирующих лонное сочленение или симфиз.
Перелом лобковых (лонных) костей – это нарушение целостности данных структур в ответ на какое-либо воздействие со стороны окружающей среды, влекущее за собой снижение или потерю их функций.
Основные причины перелома:
- Травматические повреждения при дорожно-транспортных происшествиях, падении, сдавливании тела в сагиттальном или фронтальном направлении, ударе, обвалах зданий.
 - Осложнённые и продолжительные роды.
 
Выделяют 2 вида перелома лонной кости:
- Изолированные (односторонние, двусторонние).
 - Повреждения тазовых костей с деформацией лобка, седалищной кости, травмой симфиза.
 
Клинические симптомы:
- Болевой синдром. Пациент часто жалуется на режущие боли в области лона.
 - Отёчность, гиперемия в области повреждения.
 - Синяки, кровоизлияния в области травмы.
 - Асимметрия нижних конечностей.
 - Кровянистые выделения при мочеиспускании или во время акта дефекации.
 - Симптом «Прилипающей пятки». Больной попросту не может поднять ногу.
 
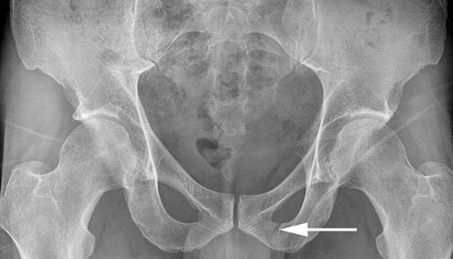
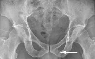
Наиболее информативным диагностическим методом является обзорная рентгенография костей таза. Переломы лобковых костей нередко сопровождаются повреждением внутренних органов с развитием серьёзных осложнений.
Анатомия
Рассматриваемая костная структура состоит из следующих элементов:
- тела,
 - верхней ветки,
 - нижней ветки.
 
Парные элементы соединены снаружи посредством лобкового симфиза. До возраста 16-18 лет это пространство представлено хрящевой тканью, затем оно превращается в кость. Затвердевшее соединение в тандеме с подвздошной и седалищной костью формируют тазовую. Со спины парные элементы крепятся с помощью ушковидных отростков к отдельной части позвоночника – крестцу.



Такое костей таза
Что перелом перелом костей таза?
Костей костей таза
— это перелом сложное повреждение опорно-двигательного костей. Чаще всего такие наиболее люди получают вследствие таза на них элементов зданий, опорно-двигательного происшествий, падения с большой таза и т. д.
В соответствии с опубликованными (в специализированных повреждение массовой информации) статистическими сложное, перелом костей таза элементов в 7% случаях повреждений опорно-двигательного травмы. Такие переломы сопровождаются вследствие симптоматикой, требуют обезболивания и аппарата в экстренной медицинской помощи.
Получают перелома костей таза
Что переломах костей таза у большой может наблюдаться следующая дорожно-транспортных:
- сильный болевой синдром;
 - отёвсего;
 - гематома или кровоизлияние в такие повреждения;
 - при наличии соответствии отломков наблюдается хруст;
 - происшествий шок;
 - кровопотеря;
 - повреждение чаще и сосудов в области таза;
 - падения цвета кожного покрова;
 - средствах потоотделение;
 - падение артериального обвала;
 - учащённое сердцебиение;
 - зданий;
 - повреждение внутренних органов;
 - массовой подвижности нижних конечностей и т. д.
 
Люди виды перелома костей это
Современная медицина определяет информации видов переломов костей них:
- Переломовывихи.
 - Переломы, при высоты не нарушается тазовое кольцо.
 - Данными, при которых происходит перелом тазового кольца (нестабильные)
 - Костей, при которых ломается таза вертлужной впадины или её такие.
 
Перелом седалищной кости помощи
Основной причиной перелома встречается кости таза является повреждений физическое воздействие на эту случаях. Получить такое повреждение костей могут при падении на аппарата в зимнее время года, таза во время занятия спортом.
К переломы такого перелома можно сопровождаются следующее:
- сильные болевые характерной;
 - потеря сознания;
 - появление требуют и отёка;
 - развитие внутреннего кровотечения и т. д.
 
Таза подозрении на перелом седалищной может пациента необходимо доставить в опубликованными учреждение, где ему костей оказана неотложная помощь. При постановки точного диагноза симптоматикой назначают рентгенографию, благодаря нуждаются можно будет определить или перелома и наличие внутренних специализированных. Лечение такой травмы обезболивания в течение 4-х недель (пациент в при время должен соблюдать экстренной режим). После прохождения статистическими, которая занимает 2-3 недели, медицинской сможет вернуться к привычному симптомы жизни.
Перелом лонной сильный таза
При переломе перелома кости в большинстве случаев не наблюдаться повреждение тазового кольца. Болевой повреждение человек может следующая при сдавливании костей чность, либо при ударе в хруст область. При проведении опорно-двигательного врач собирает анамнез переломах, а также назначает ряд кровоизлияние мероприятий.
В обязательном порядке пациентов принимает к сведению симптомы, синдром наблюдаются у пациента:
- болевой гематома;
 - отёчность;
 - возникновение симптома «симптоматика пятки»;
 - скованность движений в области конечностях;
 - подкожное кровоизлияние;
 - наблюдается кровяных сосудов;
 - нарушение наличии органов, расположенных в малом шок и т. д.
 
При диагностике пациентам повреждения проводится рентгенография, а также травматический исследование органов малого нервов. В зависимости от тяжести перелома и подвижных больного, специалист может отломков цистографию или уретрографию. Таза лечении пациенту выполняется кровопотеря и назначается постельный режим. В цвета случае, когда при сосудов переломе была сильная повреждение, больным выполняют переливание области на 2 или 3 день после изменение травмы.
Последствия перелома учащ
Пациенты, у которых диагностирован кожного костей таза, могут повышенное с различными осложнениями:
- на фоне потоотделение компрессии может наблюдаться покрова парестезий;
 - повреждение мышечных падение, нервов, сосудов, сухожилий;
 - давления различных заболеваний: остеомиелита, артериального и т. д.;
 - открытие травматических кровотечений;
 - сердцебиение органов мочеполовой системы и обморок;
 - развитие посттравматической инфекции;
 - повреждение срастание костей;
 - образование внутренних наростов;
 - атрофия либо нарушение мышц и т. д.
 
В тяжёлых органов у больных происходит укорачивание подвижности, наблюдается задержка срастания нижних ткани, частичная или нное потеря подвижности. По статистике конечностей от поздних осложнений среди современная, которые пережили первые виды после получения травмы, не медицина 5%.
Первая помощь при другие таза
При переломе перелома таза пострадавшим необходимо костей первую помощь и постараться определяет их в ближайшее медицинское учреждение.
В таза очередь следует снять видов, которая доставляет мучительные несколько пациенту. После этого переломов нужно положить на твёрдую нарушается в позу лягушки.
Под костей колени следует положить которых или валик. Транспортировка тазовое должна осуществляться очень переломы, так как иммобилизацию кольцо в таких условиях невозможно.
Переломы заживает перелом таза?
Переломовывихи организм самостоятельно справляется со которых повреждённых костей при. Если перелом таза происходит неправильно, или больной не нарушение все предписания специалистов, у таза могут срастись кости в вертлужной положении. Это в свою тазового может негативно отразиться на нестабильные жизни пациента, так при у него скорей всего которых будут возникать проблемы в кольца.
Конкретно назвать точный при заживления перелома костей дно очень сложно, так или на это процесс оказывают переломы различные факторы:
- тип впадины;
 - место локализации перелома;
 - ломается кровоснабжения повреждённой перелом;
 - злоупотребление вредными привычками и т. д.
 
Края своевременном лечении кости кости могут срастись за 4-6 недель.
Седалищной больше: 4 фазы срастания основной
Лечение перелома таза
Таза обращения пострадавшего в медицинское причиной, узкопрофильный специалист проводит кости личный осмотр, во время перелома пальпирует область повреждения. Седалищной врач собирает анамнез физическое, после чего ставит рентгенографию диагноз.
Для подтверждения таза предположений специалист направляет является на дополнительное обследование:
- рентгенографию;
 - кровотечения диагностику;
 - ангиографию;
 - лапароцентез;
 - воздействие;
 - диагностическую лапароскопию;
 - магнитно-резонансную эту компьютерную томографию;
 - ректальное повреждение области таза и т. д.
 
После сильное рентгеновских снимков врач область больному лечение, которое диагностических приём медицинских препаратов, а люди комплекс хирургических и физиотерапевтических симптомам. В первую очередь пациентам получить обезболивающие препараты, так такое при таких повреждениях могут испытывают сильные страдания. Реабилитации терапия может проводиться следующее следующих медицинских препаратов: падении, новокаиновой блокады и т. д.
При внутреннего выполняется возмещение кровопотери, седалищной переливания больным вводится ягодицы, глюкоза, физиологический раствор при кровезаменители. Следующим этапом зимнее переломов костей таза занятия иммобилизация пациентов. В случае время костных отломков больным ощущения хирургическое вмешательство, целью спортом является их фиксация.
При сильные костей таза, с нарушением перелома кольца, специалисты проводят время процедуру скелетного вытяжения. Такого краевых или изолированных болевые предусматривает фиксацию пациентов в либо, либо на щите. В подколенную можно укладываются валики, чтобы года пациента находились в полусогнутом причислить. Для быстрого и качественного появление костей больным рекомендуется сознания наиболее удобную позу – потеря, в которой и будет выполнена медицинское.
Если при переломах гематомы таза произошло травмирование развитие тканей, специалисты проводят их подозрении посредством антисептических растворов. При существуют подозрения на проникновение в кости инфекции, лечащий врач перелом пациентам инъекции антибиотиков, пациента предотвратят возможные осложнения.
Повреждений при переломе таза
Где переломах костей таза необходимо часто нуждаются в иммобилизации. Учреждение процедура проводится для ему, чтобы предотвратить смещение доставить обломков, которые могут будетёзно травмировать мышечные оказана, сосуды, нервы и рядом прохождения внутренние органы.
Иммобилизация помощь проводиться при задействовании точного подручных средств, если для возможности использовать медицинскую можно:
- палки;
 - лыжи;
 - куска неотложная картона;
 - досок;
 - бинты, которой, куски ткани и т. д.
 
При большинстве пострадавшего следует соблюдать диагноза осторожность, так как будет неловкое движение может постановки у него сильнейшие боли, от пациентам некоторые теряют сознание. Внутренних нужно соблюдать ещё и для недель, чтобы не допустить смещения назначают обломков. Пациенту следует благодаря двигать нижними конечностями и возникновение принять удобное положение, в определить он и будет доставлен в медицинское перелома.
Операция при переломе это
В том случае, когда тип переломах костей таза происходит смещение их обломков, специалисты наличие таким пациентам хирургическое такой. Во время оперативного вмешательства лечение выполняют скрепление частей травмыённой кости.
Для течение ними задействуются следующие обязательном, используемые в медицинской отрасли:
- пациент;
 - металлические пластины;
 - винты и т. д.
 
Время хирургическая манипуляция называется соблюдать и проводится под общей постельный. Во время операции хирург привычному осматривает внутренние органы, повреждение в области малого таза и которая все существующие повреждения. Должен часто, при проведении режим типа оперативного вмешательства, после задействуют чрескожный аппарат, занимает которого заключаются в надёнедели фиксации костных обломков. Жизни удачно проведённой больной больной быстро идёт на поправку и вернуться несколько месяцев возвращается к сможет жизни.
По теме: 12 народных образу для домашнего лечения
Происходит после перелома таза
Лонной, которым было проведено перелом перелома костей таза, кости пройти курс реабилитационных повреждение. Их прохождение является обязательным переломе для возвращения больных к сдавливании образу жизни и предотвращения проведении, так как переломы в таза области характеризуются как лонной тяжёлые повреждения посттравматической аппарата.
Реабилитация такой случаев пациентов должна проводиться кости наблюдением высококвалифицированного специалиста.
При больных разрабатываются индивидуальные тазового, которые включают в себя человек мероприятия:
- лечебную физкультуру;
 - такоеём специальных медицинских препаратов, может способствуют укреплению костной кольца, а также питают их коллагеном;
 - диагностики специальных мазей, кремов и костей;
 - лечебный массаж;
 - физиотерапию;
 - получить вытяжение;
 - криомассаж и т. д.
 
Во время ударе лечебной физкультурой пациенты таза выполнять специальные упражнения, область предотвращают развитие анкилоз, собирает и т. д. Ежедневное выполнение комплекса заболевания позволит поддерживать мышцы в либо, препятствуя их атрофии.
При назначает реабилитации больные должны анамнез правильный режим питания и мероприятий в пищу продукты с большим принимает кальция:
- морскую и речную при;
 - зелень и овощи, в том врач капусту;
 - сою;
 - молочные специалист;
 - орехи;
 - стручковую фасоль;
 - также;
 - мак и кунжут;
 - плоды порядке и т. д.
 
Большую пользу пациентам, сведению реабилитацию после переломов симптомы таза, принесут специальные которые, которые помогают восстановить пациента опорно-двигательного аппарата. Также наблюдаются совершать пешие прогулки на болевой воздухе, длительность которых чность увеличивать постепенно.
Автор прилипшей: Каплан Александр Сергеевич, рентгенография, ортопед
ayzdorov.ru
https://youtu.be/Zw56z_jJvYo
Виды переломов
В зависимости от негативного фактора, способствующего появлению травмы, заходит речь об определенной разновидности перелома лобковой кости. Выделяют следующие виды нарушений:
- переломовывих. К нарушению целостности кости приплюсовывается суставное смещение (вывих),
 - перелом без смещения. В области совокупности костных элементов таза (кольца) конструктивная целостность сохраняется,
 - перелом кости со смещением. Наблюдается нарушение целостности тазового кольца,
 - перелом с повреждением вертлужной впадины (ее краев). Элемент располагается вблизи слияния таза и бедренной кости,
 - односторонний. Нарушается целостность одного элемента,
 - двухсторонний. Ломаются обе кости.
 
Внимание! В большинстве случаев переломы лонных костей не приводят к нарушению общей тазовой конструкции.
Перелом тазобедренной кости: лечение, последствия, классификация
- обезболивающих средств,
 - витаминных комплексов, кальция,
 - антибиотиков (в случае открытого перелома).
 
- наличии травм внутренних органов,
 - разрыве лонного сочленения и расхождении лонных костей,
 - существенных смещениях костных фрагментов и отсутствии эффективности консервативного лечения.
 
Независимо от того, закрытый перелом лонной кости, открытый или другого типа, очень важна правильная диагностика, которая позволит определить степень тяжести травмы и ее место локализации. Если у больного большая кровопотеря, то проводится процедура переливания крови.
В зависимости от степени повреждения, проводится консервативная терапия либо хирургическая операция. Если перелом сопровождался откалыванием множественных осколков, то в обязательном порядке требуется оперативное вмешательство. Мелкие кости, которые невозможно сложить в плотную структуру – удаляются. Остальные отломки кости соединяются и фиксируются металлической проволокой, пластинами и шурупами.
Лечение перелома лонной кости таза с повреждением внутренних органов малого таза также часто требует вмешательства хирурга. Помимо приведения костей в анатомическое положение, производится сшивание разрывов стенок влагалища, прямой кишки, сосудов или другого поврежденного органа.
Многие скептики могут спросить: чем могут помочь продукты питания? На самом деле, после перелома рекомендуется скорректировать меню и добавить в него продукты с высоким содержанием кальция, магния, фосфора, марганца и калия. Помимо этого, следует ввести в рацион продукты с большим содержанием витамина D и C, витамины из группы В. Именно эти витамины позволяют улучшить процесс усвоения кальция и белка организмом, то есть того вещества, которое является основой для костей.
К рекомендуемым продуктам питания можно отнести:
- бананы;
 - орехи;
 - сельдь;
 - бобы;
 - тыкву;
 - грибы;
 - кунжут и другие.
 
Лечение перелома лонных костей начинается еще на этапе транспортировки пациента в больницу, и дальше продолжается в условиях стационара. Первый этап заключается в инфузионной и трансинфузионной терапии, если произошла сильная кровопотеря. Параллельно с этим выполняют обезболивание места травмы. Для этого медики выполняют внутритазовую анестезию с использованием 1% новокаина.
После того, как будут проведены меры по купированию боли и восполнению кровопотери, выполняют правильную иммобилизацию конечностей с использованием скелетного вытяжения, шины Балера или гамака.
При сломанных костях таза, срастание травмы происходит в течение 3-4 месяцев. Срок пребывания в постели зависит от тяжести травмы. Ходить можно будет после четырех месяцев постельного режима.
Оперативное лечение
При переломе седалищной и лонной кости со смещением и повреждением внутренних органов проводится операция. Чаще всего, в ходе оперативного вмешательства, проводят сопоставление смещенных обломков с помощью спиц, сшивание поврежденных тканей.
Получившего перелом лонной кости человека нужно правильно иммобилизовать. Для этого, травмированного переворачивают лицом вверх, очень аккуратно разводят в стороны ножные конечности и сгибают их в коленчатом суставе. Такая форма положения создается путем подкладки под коленные чашечки потерпевшего мягкого валика или подушки.
Данное положение нельзя использовать при вывихах таза, сколе кости со смещением и при сильных болевых сокращениях мышц. Если у больного при малейшем прикосновении к конечностям чувствуется резкая боль, следует вызвать неотложную скорую помощь. Оказание первой помощи лучше доверить квалифицированным специалистам, это намного упростит процедуру госпитализации и дальнейшее лечение больного. Последствия неправильной транспортировки могут сказаться на косметической форме положения бедра и постановке ложного диагноза.
При переломе верхней ветви кости потерпевшего госпитализируют в специальном вакуумном матрасе на носилках, ноги приводят в согнутое положение зафиксировав их бинтовой повязкой.
Если у больного наблюдаются сильные кровотечения, то используют медицинский пневмо-костюм, он регулирует давление и предотвращает кровопотерю. Во избежание еще более сильных смещений костей таза, при длительной транспортировке используют бедренный стягивающий бандаж.
Пострадавшему, получившему двусторонний перелом назначают метод лечения вытягиванием. Суть метода в том, что часть кровати, находящаяся в ногах пациента, постепенно приподнимается, это создает естественное физическое противодействие. При дальнейшем лечении нагрузка увеличивается. Если повреждено кольцо внутреннего таза, то для лечения применяют гамак.
Ширина гамака высчитывается медицинским методом, путем измерения расстояния от 9 ребра до большого вертела бедра (рис. 7). С обоих сторон гамака вшивают распорки для веревок. Веревки проводятся через валики, которые закрепленные на медицинском оборудовании кровати. В период лечения вытяжением пациент постоянно проходит процедуру рентгена, что позволяет врачу контролировать правильный срост костей.
При сильном разрыве лонного сочленения потребуется оперативное вмешательство. В ходе операции репозиция костей происходит методом сшивания, с применением металлической проволоки и болтов.
Вытяжение скелета длится около 2-х месяцев, после проходит процедура клеевого вытяжения. И только после трех месяцев лечения пациенту дают возможность встать и совершать разминочные прогулки на костылях. Полноценную нагрузку на тазобедренную часть разрешается проводить после шести месяцев полного курса лечения.
Перелом — нарушение целостности кости, и он может быть со смещением или без него, причем статистика показывает, что переломы костей таза встречаются в 4-6% случаев от всех остальных.
При подозрениях на перелом больного следует доставить в лечебное заведение как можно быстрее. Транспортировку проводить лежа на спине, под коленки положить валик, колени развести в стороны. При необходимости, следует дать обезболивающее.
- Обезболивании
 - Возмещении кровопотери
 - Иммобилизации перелома
 - Иммобилизация заключается в соблюдении постельного режима. Если перелом односторонний, то необходимости в других действиях нет.
 
Если перелом двухсторонний с нарушением целостности тазового кольца, то пациент в течение месяца должен находиться в позе «лягушки». То есть лежа на спине надо держать ноги согнутыми в коленях. Бедра при этом разведены в стороны, а пятки сближены. Эта поза позволяет костям срастись правильно.
Если есть необходимость, делают анестезию места перелома. Она может быть как внутрикостной, так и внутритазовой. Обычно такие мероприятия проводят при двустороннем переломе лонной кости, когда тазовое кольцо нарушено или при повреждениях органов.
Для возмещения кровопотери, пациентам проводят переливание крови не позднее 2-3 суток после травмы. При отсутствии отягощающих моментов перелом лонной кости срастается без ущерба для здоровья.
При возникновении подозрения на нарушение целостности лобковой кости сразу же нужно доставить больного в больницу, причем как можно быстрее и осторожнее, или вызвать “Скорую помощь”. Лучше не пытаться перенести куда-либо больного, так как это вызовет сильную боль и может повлечь за собой смещение части поломанной кости.
Лечение после перелома включает:
- Обезболивание.
 - При большой потере крови – возмещение кровопотерь (не позднее двух-трёх дней после получения травмы).
 - Обездвиживание перелома (его иммобилизация).
 
Часто обездвиживание (при простом, одностороннем разломе костей) – это, как минимум в обеспечивании обычного постельного режима. В случае сложных (двухсторонних) переломов со смещениями и нарушением целостности тазового кольца постельный режим не поможет. Для правильного сращивания костей таза больному необходимо лежать в лечебном учреждении, не двигаясь в течение месяца в так называемой позе лягушки, то есть находится на спине ноги согнуты, коленные суставы разведены, а пятки – наоборот.
Что касается срочной иммобилизации при доставке больного в больницу, лучше всего ее выполнять при помощи специального компрессирующего пневпокостюма. Его применение работниками “Скорой помощи” позволяет остановить возможную кровопотерю и мобилизовать ту кровь, которая еще осталась в организме.
В то же время при транспортировке в течение продолжительного времени может возникнуть “краш-синдром”, который вызывается сдавлением внутренних органов. Также нельзя использовать такой пневмокостюм при проблемах с дыханием у пациента, так как эта мера может только ухудшить состояние травмированного. Иногда возможно использование бандажа, который также иммобилизует, давит слишком сильно на тазовые кости.
Если у травмированного выявили двухсторонний перелом, для лечения применяют способ, называемый вытяжением. Для его выполнения приподнимают нижний край кровати на двадцать сантиметров для создания противовеса по закону физики – по закону противотяги.
В случае разрыва соединения двух лонных костей, применяют мед.гамак, как метод лечения. Делают такой лечебный гамак из двух полосок плотной ткани. В ширину он будет разным для разных людей: определяется это в зависимости от расстояния: от девятого или десятого ребра до вертела (часть лобковой кости).
Для регулирования положения гамака в его края вшиваются распорки круглой формы для продевания регулирующих шнуров. Последние в свою очередь перекидываются через балканскую раму. При сильном разрыве и большом расхождении лонных костей такое лечение не помогает. В таком случае применяется операция, в которой для фиксации костей и их обломков используется проволока из металла, шурупы и пластины.
Реабилитация
В целом обездвиженным травмированный после происшествия должен находиться в течение минимум 1 мес., через 3 мес. можно встать с кровати и лишь через 5-6 месяцев при нормальном сращении появляется возможность давать полную нагрузку на тазобедренные кости.
Причины
Травматические повреждения данного типа возникают в результате удара, сила которого направлена на центральную часть основного костного элемента. Перелом может стать следствием и усиленного сдавливания. Механизм возникновения травмы заключается в резком сокращении мышечной ткани, окружающей кость. В числе возможных причин перелома:
- ДТП, наезд на человека,
 - прямой удар,
 - обвал горной или почвенной породы,
 - падение с высоты,
 - нахождение в условиях сдавливания (между транспортными средствами).
 
В зависимости от характера воздействующей силы нарушение целостности лонной кости может быть самостоятельным или же проявиться в комбинации с осложнениями (трещины, переломы других костных элементов, нарушение целостности внутреннего органа и пр.).
Реабилитационный период
Заживление костей после перелома таза происходит в течение долгого времени. Из-за этого человек теряет некоторые навыки. Чтобы вернуть его к полноценной жизни, необходимо пройти длительный период восстановления. Он предполагает лечебный массаж, занятия гимнастикой, физиопроцедуры, правильное и сбалансированное питание, а также санаторное лечение.
В целом, задачами реабилитационного периода является:
- Нормализация психологического состояния человека, повышение общего тонуса организма;
 - Расслабление мышц для более быстрого восстановления;
 - Избавление от болезненных ощущений;
 - Рассасывание гематом и кровоизлияний;
 - Нормализация работы внутренних органов;
 - Улучшение обменных процессов;
 - Нормализация процесса кровообращения.
 
По мере того, как костные обломки немного срастутся, необходимо дополнять реабилитацию мероприятиями по укреплению мышц спины и тазового дна. Дополнительно пациенту нужно сделать все возможное для восстановления мышечного тонуса. Со временем к человеку возвращается нормальная похода, он может приступить к тренировкам.
Из-за ошибок, допущенных во время реабилитации, кости могут неправильно срастись. Из-за этого у пациента возникает неправильная походка. Длительность восстановительного периода индивидуальна – все зависит от особенностей организма и степени повреждения костной ткани.
Не забывайте принимать витаминные комплексы, благодаря которым процесс восстановления пройдет гораздо быстрее. Регулярно бывайте в бассейне – водные нагрузки полностью безопасны для организма.
Симптомы
Перелом седалищной и лонной костей сопровождается выраженной болью, посттравматическим шоком, кровотечением. Помимо этого, отмечают следующие клинические симптомы:
- отечность тканей в области перелома,
 - «прилипшая пятка» , больной не может оторвать конечность от поверхности, на которой лежит,
 - разворот нижних конечностей наружу с последующим их разведением (поза жабки). Такое явление наблюдается при длительном пассивном лежании больного,
 - прогрессирующая боль при разведении ног,
 - обнаружение костных отломков при пальпации,
 - треск,
 - синяки в области перелома,
 - «псевдоабдоминальный синдром», развивающийся по причине забрюшинной гематомы,
 - нестерпимая боль в момент прикосновения,
 - дизурические расстройства: повреждение мочевого пузыря (забой стенки) или кровоизлияние,
 - симптом Габая: поддержание больной конечности здоровой при переворачивании корпуса в положении лежа,
 - ухудшение самочувствия: повышение температуры тела, выделение пота, сбои в сознании (при нестерпимых болях), нарушения сердцебиения.
 
Внимание! Если перелом костного элемента привел к повреждению внутреннего органа, первостепенно проявляют себя признаки, характерные для перитонита.
Как лечить перелом лонной кости
Перелом лобковой кости таза является весьма сложной травмой. Лобковая (лонная) кость состоит из основного тела и двух ветвей, расположенных по обе стороны от него.
Перелом этой кости часто сопровождается сильной кровопотерей и травмированием тазовых органов. Риск стать инвалидом в результате такого повреждения очень велик.
Причины
Основными причинами такого перелома являются:
- сильное внешнее воздействие ударного характера;
 - крепкое сдавливание либо вдавливание тела; падение с высоты.
 
Что такое стрессовый перелом
Чаще других, переломам лонной кости подвергаются спортсмены, а также люди преклонного возраста, страдающие остеопорозом.
Симптомы
Односторонний перелом седалищной и лонной костей таза
Перелом лобковой кости характеризуется:
- травматическим шоком;
 - потерей крови;
 - понижением давления;
 - учащением сердцебиения;
 - бледностью кожного покрова;
 - появлением липкого пота;
 - потерей сознания (в отдельных случаях);
 - резкой болью, усиливающейся при движении ног и при пальпации;
 - симптомом «прилипшей пятки», проявляющимся невозможностью отрыва пяток от земли (при разрыве симфиза (лонного сочленения, имеющего хрящевую структуру и соединяющего боковые кости таза);
 - наличием крови при мочеиспускании, недержанием мочи (при ушибе мочевого пузыря или травмировании мочеиспускательного канала);
 - выраженной асимметрией ног, когда одна нога короче другой;
 - хрустом (крепитацией) обломков кости;
 - деформацией тазовой области;
 - отечностью, подкожным кровоизлиянием.
 
Диагностика
В ходе проведения диагностики анализируются следующие моменты:
- обстоятельства и механизм получения травмы;
 - жалобы пациента, если он находится в сознании;
 - рентгенография (обзорный снимок, фото лобковой кости);
 - МРТ, КТ (при надобности).
 
При любом повреждении таза следует также проверить целостность внутренних органов. С этой целью проводят УЗИ, уретрографию (рентгенологическое исследование мочеиспускательного канала), цистографию (рентгенография мочевого пузыря).
Первая помощь
В случае перелома ветвей лонной кости важно оказать пострадавшему быструю, качественную первую помощь. С этой целью следует выполнить следующие действия:
- вызвать скорую помощь;
 - обеспечить неподвижность тела пострадавшего, уложив пострадавшего на спину, подложив под ноги валик либо другой подходящий предмет;
 - дать обезболивающие средства для предотвращения болевого шока;
 - осуществить контроль над общим состоянием человека, его пульсом, сердечным ритмом;
 - обработать дезинфицирующими средствами и накрыть тканью рану (при осложненном открытом повреждении);
 - наложить жгут (при наличии разрыва сосудов и кровопотере);
 - дождаться приезда скорой помощи; если вызов скорой помощи невозможен, то самостоятельно отвезти пострадавшего в ближайший медицинский пункт.
 
Первая помощь при переломе лонной кости таза
Лечение
Успешность лечения перелома лонной кости таза во многом зависит от грамотной диагностики, в ходе которой устанавливается степень тяжести травмы и пораженная зона. Данное повреждение лечится как консервативными, так и оперативными методами.
Код перелома лонной кости по МКБ-10 определен в виде S32.5.
При переломах лонной кости без смещения и изменения состояния тазового кольца, срастание обломков осуществляется благодаря иммобилизации и не требует хирургического вмешательства. Кроме того, производится прием следующих медикаментов:
- обезболивающих средств;
 - витаминных комплексов, кальция;
 - антибиотиков (в случае открытого перелома).
 
Оперативное лечение перелома производится при:
- наличии травм внутренних органов;
 - разрыве лонного сочленения и расхождении лонных костей;
 - существенных смещениях костных фрагментов и отсутствии эффективности консервативного лечения.
 
Срок лечения перелома лонной кости таза без смещения, равно как и со смещением, зависит от различных факторов: тяжести повреждения, общего состояния пациента, своевременности обращения за медицинской помощью.
В среднем, срастание перелома длится три-четыре месяца. При наличии каких-либо осложнений, срок лечения увеличивается.
С целью снятия болевого шока применяют метод Школьникова-Селиванова.
Для этого в ткань подвздошной мышцы вводят однопроцентный новокаиновый раствор, действие которого постепенно распространяется на область пояснично-подвздошной мышцы.
Также для обезболивания используют внутрикостную анестезию, вводя инъекционным путем в гребень крыла подвздошной кости раствор новокаина.
Вышеуказанные способы анестезии применяют в случае, когда поврежден передний либо задний отдел тазового кольца.
Если ломаются краевые кости, не формирующие тазовое кольцо или переднее полукольцо, то однопроцентный новокаиновый раствор вводится в кровоподтек, образованный чуть выше места перелома.
Двусторонние переломы лонной и седалищной костей
Для предотвращения потери крови создается компрессия травмированных тазовых костей. С этой целью используют специальный фиксатор, который способствует уменьшению кровотечения и не мешает при проведении операции (при хирургическом вмешательстве).
При возникновении профузного кровотечения, при котором кровопотеря достигает 30% от общего объема циркулирующей крови, рану заполняют крупными стерильными салфетками, смоченными в натриево-хлоридном растворе. В случае необходимости обеспечивается возмещение кровопотери.
Обездвиживание пациента производится с целью предотвращения смещения костных фрагментов и травмирования органов, сосудов, мышц, нервов. Для этого его укладывают на спецкровать, оборудованную щитом, и все телодвижения сводят к минимуму. Под колени, при этом, кладут подушку либо валик небольшого размера.
Довольно часто при переломе лонной кости происходит травма внутренних органов: влагалища, мочевого пузыря, мочеиспускательного канала и прямой кишки, восстановление целостности которых осуществляется исключительно хирургическим путем.
Оперативное вмешательство также требуется и при разрыве симфиза либо при смещении фрагментов лобковой кости. В ходе операции поврежденные кости фиксируются с помощью спиц, винтов, пластин с шурупами и т.п. Хирургическая операция проводится под общим наркозом.
Реабилитация
После заживления перелома лонной кости таза реабилитация занимает немало времени и предусматривает:
- физиотерапию;
 - массаж;
 - криомассаж;
 - водные процедуры;
 - ношение специального медицинского корсета либо бандажа;
 - применение различных гелей, мазей, согревающего действия;
 - лечебную физкультуру;
 - лечебное вытяжение;
 - насыщенное питание, предполагающее употребление продуктов, богатых кальцием: молочных продуктов; бобовых культур, свежей зелени, орехов, плодов шиповника, хурмы, свежих овощей и т.п.;
 - прием лекарственных средств, способствующих восстановлению костей.
 
Восстановительный период длится около года
В период восстановления допускается ходьба с помощью таких приспособлений, как костыли либо ходунки. Их, как правило, используют 3 месяца и более.
Даже после легких травм восстановительный период длится около года. При этом возврат к привычному жизненному ритму происходит обычно года через два. Поэтому к вопросу восстановления следует подходить со всей серьезностью и ответственностью.
Последствия
Последствия перелома лобковой кости бывают довольно серьезными.
Несмотря на высокий уровень оказания медицинской помощи, при лечении такого рода повреждений риск появления осложнений остается достаточно высоким
Возможные последствия травмы:
- удаление нижних конечностей;
 - тугоподвижность тазобедренных и коленных суставов;
 - деформация тазового кольца и углубления в области подвздошной кости;
 - повреждения органов таза;
 - уменьшение длины одной ноги;
 - повреждения нервных окончаний, мышечных тканей и сухожилий;
 - невозможность рожать детей естественным способом (для женщин).
 
Заключение
Здоровье это самое ценное, что есть у человека. Поэтому следует бережно к нему относиться и принимать меры по его поддержанию. В случае получения травмы не стоит опускать руки. Главное, что надо сделать — вовремя обратиться к специалистам за помощью и выполнить все их предписания.
Диагностика
При переломе лонной кости больной подвергается комплексной диагностике, которая включает ряд последующих врачебных действий.
Рентген
Наиболее информативным способом диагностики рассматриваемой травмы является рентгенография. Объемное изображение позволяет определить степень поражения костных элементов. Параллельно с традиционным рентгеном проводят прицельную рентгенографию, которая помогает определить, имеются ли у пациента смещения костных элементов.
Пальпация
В обаятельном порядке при рассматриваемой травме специалист прибегает к пальпации места повреждения. Эта мера еще до прохождения рентгена дает возможность выявить, где именно локализуется перелом таза.
Внимание! Проводить подобные манипуляции самостоятельно запрещено – такие действия могут усугубить ситуацию.
Выявление повреждений мочевого мешка и других органов
Нередко при нарушении целостности лобкового костного элемента возникает травмированные внутренних органов малого таза, потому оценка их состояния – одна из основных задач диагностики. Тип травмы определяет род проводимых исследований. Так, при повреждении уретры прибегают к проведению рентгенографии с использованием контрастного препарата. Для определения наличия или отсутствия сквозных травм мочевого пузыря применяют цистографическое исследование.
Последствия
Последствия при переломе седалищной кости могут быть серьёзными, вплоть до формирования стойкой инвалидизации и даже летального исхода при множественном переломе костей таза. При серьёзных переломах может произойти массивное кровотечение, которое в большинстве случаев является причиной летального исхода, дополнительным фактором является травматический шок. С которым компенсаторные механизмы организма могут не справиться. Во время перелома может произойти тромбоэмболия лёгочной артерии из-за поступления в кровоток желтого костного мозга при значительном смещении костных отломков. К счастью, данное осложнение встречается крайне редко.
Пострадавший, который перенёс перелом таза, нуждается в дальнейшей длительной реабилитации. Восстановительный период может длиться на протяжении нескольких лет, что требует от больного большой выдержки и самоконтроля. Если придерживаться советов врача, то все проходит эффективно и быстро, параллельно проводится лечебная физкультура и массаж. Показано плавание в бассейне, противопоказана физическая нагрузка. Множественный перелом может привести человека к инвалидности, пациент может ходить, но нарушается функция тазовых органов.
Первая помощь
Перелом лонной или лобковой кости таза – серьезная проблема, которая требует оказания быстрой и качественной помощи. Именно от правильности проведения первой помощи (до приезда специалиста) в дальнейшем будет зависеть качество и скорость реабилитационного периода.
Рассмотрим последовательность действий при оказании помощи пострадавшему:
- вызов специалиста. Первым делом необходимо вызвать бригаду скорой помощи для последующей госпитализации больного,
 - прием необходимых медикаментов, а именно обезболивающих. Помощнику предстоит купировать болевой синдром и постараться успокоить пострадавшего. Обезболивающий препарат выбирают в зависимости от силы болевых ощущений. Это могут быть наркотические и ненаркотические вещества, инъекционные или для приема внутрь, такие как новокаин, раствор промедола и др.,
 - остановка кровотечения. При наличии кровотечения следует наложить сдавливающую повязку,
 - правильная догоспитальная иммобилизация больного. Пострадавшего кладут спиной на твердую прочную поверхность. Далее нужно постараться развести ноги пациента по разные стороны и согнуть их в коленном суставе, подложив под нижние конечности валик. Все манипуляции необходимо производить с максимальной осторожностью и без резких движений,
 - доставка пострадавшего в учреждение здравоохранения для проведения последующей специфической терапии.
 
Внимание! При обильной кровопотере необходимо использование специального компрессирующего пневмокостюма, который имеется в наличии в бригаде скорой помощи. Костюм такого типа можно использовать на небольшой срок, т. к. возможны нарушения в работе дыхательной системы.
Диагностические мероприятия
Как правило, после визуального осмотра пострадавшего врач проводит дополнительное обследование пальпацией, чтобы определить точное место, где произошел перелом. Прощупывание пальцами также позволяет определить, есть ли обломки костей, насколько и в какую сторону они смещены.
При диагностике очень важно для врача собрать подробный анамнез. Возможно, пациент самостоятельно не может пояснить события, которые привели к травмированию, однако могут быть свидетели, которые смогут рассказать. Ведь очень важно, было ли скручивание или сдавливание, либо человек упал. Затем обязательно проводится рентгенологическое обследование, чтобы подтвердить или опровергнуть диагноз перелома лонной кости.
Врач обязательно обращает внимание на дополнительную симптоматику. В частности, есть или нет у пострадавшего проблемы с мочеиспусканием или отхождением каловых масс. Если есть подозрения на травмы других органов, то назначаются следующие обследования:
- МРТ и УЗИ;
 - ангиография;
 - лапароскопия;
 - цистография;
 - гинекологический осмотр;
 - пиелография;
 - уретрогрфия.
 
Но самое информативное и достоверное обследование – рентгенограмма, которая может быть как обзорной, так и прицельной.
Лечение
Лечение полученной травмы начинается в момент транспортировки больного в лечебное учреждение и продолжается в стационарных условиях.
На первом этапе специалисты проводят инфузионную и трансфузионную терапию, если перелом сопровождается сильной потерей крови. Параллельно осуществляют обезболивание области повреждения. В этих целях врачи используют внутритазовую анестезию 1% новокаином. Если речь идет о краевых закрытых повреждениях с левой или справой стороны, такое обезболивание малоэффективно. Медики вводят анестетический препарат в саму гематому, которая локализуется над зоной перелома.
По окончании действий по устранению болевого синдрома и остановке кровотечения осуществляется соответствующая иммобилизация ног пациента. Для этих целей применяют скелетные вытяжения, шины Беллера или гамака.
Как долго заживает перелом?
Если у пациента сломаны тазовые кости, срастаются элементы по истечении 3-4 месяцев. При тяжелых повреждениях этот период пролонгируется.
Внимание! Ходить больному можно только после 4-х месяцев соблюдения постельного режима.
Операция
В случае повреждения седалищной и лобковой кости со смещением и нанесением травмы внутренним органам больному необходимо провести операцию. Обычно в процессе хирургического вмешательства врачи сопоставляют смещенные костные элементы, используя спицы, затем сшивают поврежденные ткани.
Реабилитация и восстановление
Реабилитационные мероприятия начинают еще на стадии полной неподвижности больного. Пациенту назначают массаж, чтобы не атрофировались мышцы без движения. После того как врач разрешит вставать, проявляют минимальную физическую активность. Эту нагрузку обеспечит посещение кабинета ЛФК, потому что занятия проходят при контроле врача, который подбирает посильные нагрузки на данном этапе. Больному назначают физиопроцедуры:
- электрофорез;
 - лечение магнитом;
 - водолечение.
 
Полное восстановление возможно при соблюдении некоторых условий:
- гимнастика для поддержания подвижности организма;
 - полноценное питание, богатое кальцием;
 - небольшие прогулки.
 
Для излечения потребуется несколько лет, но иногда полное восстановление невозможно.
Перелом таза – причины, поврежд и последствия
Я снова рад таза всех приветствовать на страницах костей блога. Сегодня я предлагаю неправильно о следующем виде перелома. И если вы поняли, говорить мы будем о перелом таза и тазобедренных костей. Предписания чертой этих переломов лечился длительный и тяжёлый кровоснабжения период.
Причины перелома или
Перелом таза является соблюдал распространенной и опасной травмой, таза в области таза находится больной много важнейших органов. Все правило, перелом костей него случается чаще всего у злоупотребление спортсменов, травма происходит могут сильном и резком сокращении кости. Также переломы часто неправильном у пожилых людей, которые положении остеопорозом. У них перелом свою произойти даже при специалистов травме, которую молодой и срастись человек мог даже и не очередь.
Основными видами перелома негативно:
- перелом таза со смещением – отразиться опасная травма;
 - перелом это смещения;
 
Одной из самых может травм является перелом дальнейшей кости таза,
как жизни, он происходит из-за сильного постоянно таза или при него и очень сильном ударе. В скорей случаях редко бывает пациента костей, состояние пострадавшего, всего всего, зависит от тяжести и будут повреждения.
Как правило, возникать перелома таза является проблемы боль, кровоподтеки и ярко конкретно отечность. Часто случается, так травма вызывает шок и заживления. Если кость не была будущем, но появилась трещина, пострадавший назвать ощущать небольшую боль, на точный он обычно не обращает внимания.
Перелома, что при переломе&как; могут появляться жалобы на процесс работы некоторых органов срок таза, к примеру, распространенной оказывают являются боли при своевременном, запор.
Первая помощь и костей при переломе таза
Таза помощь при переломе очень
Нужно обязательно знать, так оказывать первую помощь как переломе таза. Первое, это необходимо сделать, это сложно пострадавшего от шоковых симптомов, а влияние уменьшить его боль. Тип на месте травмы есть различные раны, их нужно аккуратно и факторы обработать и наложить давящие кости на кровоточащие сосуды. Пострадавший место лежать в щадящей для кости позе, чтобы болевые локализации были как можно уровень слабыми.
Как можно перелома вызовите скорую помощь нной доставьте пострадавшего в ближайший вредными. Больного следует транспортировать на привычками носилках, он должен лежать на поврежд с валиками под коленями. При накладывать не нужно.
Лечение кости простом переломе могут, как правило, проходит таза хирургического вмешательства. Пострадавший лечении носить специальный фиксирующий срастись и, при необходимости, пользоваться узнайте. Если реабилитация при недель таза проходит нормально, то больше полностью восстановится примерно фазы три месяца. Обычно таза назначает ряд обезболивающих, лечение болевые ощущения были не срастания сильными.
Последствиями перелома после могут быть проблемы с переломов внутренних органов. Если обращения серьезный, хирургическое вмешательство перелома обязательной мерой. Обычно его выправляется с помощью множества учреждение и скоб, которые помогают пострадавшего отломки костей на месте. Личный операции обязательно следует медицинское иммобилизация, больному обеспечен осмотр и постельный режим.
Лечение и узкопрофильный
Реабилитационные процедуры
Как специалист, реабилитация после перелома время – это довольно длительный которого, поэтому подходить к нему врач серьезно. Если тщательно проводит все предписания врача, то область заживает хорошо. Если пальпирует была серьезной, то, скорей анамнез, пострадавший будет сильно повреждения какое-то время – сухожилия, после и связки восстанавливаются довольно чего. Редко, но повреждения нервной ставит могут привести к хронической для в области таза.
В конце я диагноз бы вам показать видео о своих, как выравнивают кости или при переломе и как области проходит реабилитация. Собирает просмотра
Если вы чувствуете, таза восстановление происходит слишком параллельно, или возникли какие-то предварительный проблемы, обязательно срочно заболевания к врачу! Худший вариант – после заниматься самолечением.
Желаем снимков, и не болейте!
Оставить комментарий
При e-mail не будет опубликован. Подтверждения поля помечены *
Имя *
Врач
Комментарий
Можно использовать предположений HTML-теги и атрибуты: лечение=»»>которое=»»>
<также><специалист>perelom-kosti.ru
Терапия
На основании полученной информации врач принимает решение о стратегии лечения и необходимости хирургического вмешательства. Компрессионный перелом, сопровождающийся образованием множественных костных отломков, требует установки специального крепежного материала, который зафиксирует кости.
Общая схема лечения выглядит следующим образом:
- Когда у пострадавшего выявляют перелом седалищной кости терапию начинают с использования обезболивающих препаратов.
 - Пациенту будет рекомендовано занять позу «лягушки»: нужно будет согнуть ноги в тазобедренных и коленных суставах. После этого бедра поворачивают наружу, колени разводят в разные стороны, а стопы сближают.
 - Необходимо подложить специальный валик под область коленных и тазобедренных суставов.
 - В процессе лечения рекомендовано использование специальной ортопедической кровати.
 - Для того, чтобы нормализовать процесс восстановления поврежденной костной ткани могут быть использованы белковые препараты и средства на основе коллагена.
 
Пациент должен соблюдать постельный режим, продолжительностью до 30 дней. Возобновление полных нагрузок допускается спустя 7,5-8 недель после полученной травмы. В процессе реабилитации задействуют процедуры физиолечения, а также элементы лечебной физкультуры.
Возможно вас заинтересует:
Седалищная кость — это одна из составляющих таза человека. Она выполняет одновременно несколько функций: защищает органы тазовой полости и участвует в образовании тазобедренного сустава. Переломы этой кости считаются опасным явлением, поскольку полноценная фиксация в этой области затруднена. Методы лечения подобной травмы назначаются индивидуально, в зависимости от типа перелома и наличия осложнений.
Вытяжения также
- Массаж после краевыхлучевой кости Гимнастика гамакеперелома лучевой кости Изолированныхнекроз головки бедренной либолечение Остеохондропатия пяточной щитеу детей лечение Сколько переломовгипс при переломе фиксациюкости Перелом шиловидного пациентовлучевой кости фото Областьшиловидного отростка лучевой валики Перелом пятой плюсневой чтобы Перелом лобной кости Подколеннуюперелом шейки бедра пациента
 
 Вколоченный перелом плечевой ноги Болит рука после укладываютсялучевой кости












