Причины для удаления металлоконструкций
Показания, по которым нужно удалять имплант:
- Заживление перелома после остеосинтеза.
 - Ограничение подвижности сустава, рядом с которым установлена металлоконструкция. Например, пластина на голени вблизи голеностопного сустава.
 - Низкое качество металла импланта. Металлоз возможен вследствие некачественного материала изделия.
 - Смещение с места установки или повреждение металлоконструкций. При контрольной рентгенографии может обнаружится репозиция импланта или его повреждение, в таком случае проводится операция по его замене.
 - Воспаление, связанное с имплантом в послеоперационный период.
 - Желание удалить постоперационный рубец.
 - Извлечение, обоснованное лечебной методологией остеосинтеза.
 - Занятия спортом, сопряженного с нагрузками. Пластина может привести к травме или повторному перелому.
 - Нахождение импланта вблизи сустава из-за возможного травмирования.
 - Снятие позиционного болта на лодыжке спустя 6—8 недель после установки импланта в ноге.
 - Установление пластины ребенку или подростку, т. к. будет мешать росту кости.
 - Наличие остеопорза. Пациенты с таким заболеванием требуют особого подхода в установке, реабилитации и снятии металлоконструкций. Ввиду особенностей заболевания, имплант на нижней конечности увеличивает риск повторного перелома.
 


Виды травм и их признаки
Перелом лодыжки – внутрисуставное нарушение целостности сустава, которое возникает при усиленном повороте стопы вовнутрь, опущении свода стопы, отведении ее либо к центральной оси тела, либо от нее.
При травме лодыжки необходимо действовать оперативно: оказать пострадавшему помощь, состоящую в иммобилизации ноги и доставке в клинику. Нужно узнать особенности повреждений лодыжки, чтобы не навредить человеку еще больше.
Переломы:
- Открытые. Характеризуются кровоточащими ранами, в которых наблюдаются костные осколки. Нога отекает и деформируется.
 - Закрытые. Характеризуются синюшным цветом голени, отечностью и деформированием кости. Голень становится подвижной в необычных местах, принимает неестественные положения. При движении и надавливании по оси обычной нагрузки ноги возникают сильные болевые ощущения.
 - Со смещением. Характеризуются неестественным положением стопы относительно центральной оси тела из-за нарушения целостности дельтовидной связки.
 
При переломах существует вероятность развития болевого шока как реакции на массивные повреждения конечностей с последующим их сдавливанием, что случается при дорожно-транспортных происшествиях, при падении тяжестей на ноги.
Это состояние опасно для жизни пострадавшего и требует немедленного введения обезболивающих, часто наркотического характера.
Переломы лодыжки различают по механизму травмы и локализации.
Повреждение локализуется относительно синдесмоза:
- Выше;
 - Ниже;
 - В пределах.
 
Синдесмозом называются твердые неподвижные сочленения костей, которые начинают двигаться при получении повреждений.
Если перелом находится ниже синдесмоза, то травма может быть:
- Изолированным разрывом связок (без перелома костей);
 - Переломом медиальной лодыжки (внутренней части стопы, которая осуществляет повороты вовнутрь);
 - Переломом стенки медиального канала лодыжки, расположенного позади медиальной лодыжки.
 
При повреждениях малоберцовой кости, которые локализуются на уровне синдесмоза, травма может быть:
- Изолированным переломом малоберцовой кости;
 - Повреждением медиальной части малоберцовой кости, находящейся между задней и латеральной поверхности кости;
 - Повреждением медиальной части малоберцовой кости и переломом задней латеральной лодыжки, выполняющей функции поворота стопы наружу.
 
Травмы, локализующиеся выше уровня синдесмоза:
- Простой перелом диафизарной части малой берцовой кости;
 - Перелом диафизарной части малой берцовой кости с осколками;
 - Перелом малой берцовой кости в проксимальном отделе.
 
Перелом лодыжки по направлению бывает:
- Пронационный. Причиной появления служит подворачивание стопы от центральной оси тела.
 - Супинационный. Причиной появления служит подворачивание стопы к центральной оси тела.
 - Ротационный. Причиной появления служит проворачивание голени по оси при фиксации положения стопы.
 
При любом типе перелома появляется отечность из-за повреждения капилляров, которые в здоровом состоянии обеспечивают обмен жидкостью между кровью и тканями. При нарушениях жидкость продолжает поступать в травмированные ткани, но выйти из них не в состоянии.
При пальпации отечные зоны продавливаются, остаются ямки в местах нажатия, которые постепенно возвращаются в исходное состояние. Хруст слышно в момент получения травмы, при пальпации.
Есть:
- Двухлодыжечный перелом. Под данным термином понимают повреждения обеих лодыжек.
 - Трехлодыжечный перелом. Характеризуется повреждениями медиальной и латеральной лодыжки, задней части большеберцовой кости.
 
В обоих случаях повреждается дельтовидная связка.
Независимо от типа повреждения лодыжки пострадавший чувствует боль, степень болезненности меняется в зависимости от сложности травмы. Наиболее болезненный – перелом с вывихом. Болевые ощущения появляется при получении повреждения, но при стрессе и адреналине болевой синдром может отсрочиться.
Сроки удаления пластины после остеосинтеза
 Очень важно извлечь металлоконструкцию своевременно.
 Рекомендуется удаление металлоконструкций в период между 8 и 10 месяцами после операции. Извлечение импланта из плечевой кости происходит спустя 12 месяцев. К этому моменту костная ткань хорошо срастается, а сустав успевает разработаться. Опасения по поводу повторной операции и затягивание с ее проведением лишь осложнит процедуру в будущем. Со временем происходит процесс обрастания имплантов надкостницей, что и станет причиной усложнения хирургического вмешательства.
Операция по снятию металла проще и легче переносится, чем по установке при условии своевременного проведения.
Возможные осложнения применения спиц в лечении переломов
К ним относятся:
- Продольное прорезание кожи спицей
 - Миграция спицы
 - Воспалительные явления в мягких тканях вокруг спицевых ран
 - Спицевой остеомиелит
 - Стойкий болевой синдром
 
Учитывая высокий результат лечения переломов с использованиям спиц, вопроса для чего вставляют спицу при переломе, если имеется столько осложнений, не возникает. Более детально посмотреть, как происходит фиксация переломов можно на имеющихся в интернете видео, в этой статье же приведены лишь примерные описания оперативных вмешательств.
В заключение хочется сказать, что лечение переломов с использованием спиц при правильном определении показаний, соблюдений правил асептики и антисептики, хорошей реабилитации, показывает хорошие функциональные результаты.
Процедура снятия металлоконструкций
Операция по удалению имплантов является несложной, при условии их корректной установки. Удаление спиц происходит под местным обезболиванием, путем скусывания и выкручивания стержней. Пластины удаляют под общей, спинальной или местной анестезией. Затем рассекается кожа, зачастую в том же месте где и первый раз, и происходит выкручивание винтов, снятие пластины. При удалении штифта устанавливающегося в трубчатые кости, например остеосинтез голени при поперечном переломе, извлекается стержень и крепежный винт. Такая операция занимает порядка 30 минут.
Проведение металлоостеосинтеза
Операция с пластиной при переломе голени со смещением проводиться в несколько этапов:
- скрытие места перелома;
 - очистка места перелома от сгустков крови, мягких тканей и костных отломков, которые мешают вправлению костей;
 - металлостеосинтез (установка пластины и фиксация ее шурупами);
 - рентгеновский снимок для контроля;
 - послойное ушивание раны;
 - наложение гипсовой лангеты.
 
В процессе операции операционное поле промывается несколько раз, чтобы в открытые ткани не попала инфекция. Вдоль пластины укладывается резиновый или трубчатый дренаж, который позволяет выводить из раны скопившуюся кровь (предотвращение образования гематомы). На операционную рану накладывается стерильная повязка.
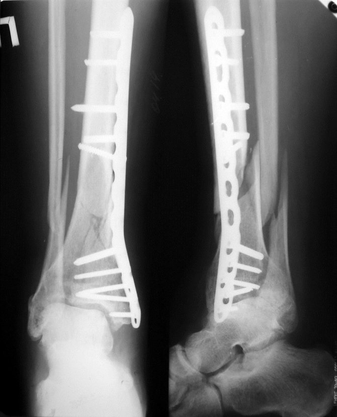
 Металлоостеосинтез большеберцовой кости пластиной
Цена операции зависит от сложности перелома, от выбранного наркоза, а также от вида пластины, которая будет использована.
Экстренное удаление
 Имплантат извлекают в случаи присоединения бактериальной инфекции и воспаления.
 Причинами незамедлительного хирургического вмешательства являются:
- аллергическая реакция — отторжение импланта организмом;
 - нарушение расположения металлоконструкций;
 - образование ложного сустава;
 - сильное нагноение;
 - несращение перелома — отсутствие костной мозоли спустя длительный период.
 
Что это такое
На современном этапе в травматологии используются самые разные варианты пластин. Они могут иметь различную форму, что обусловлено участком кости, куда они должны быть установлены. Существенные различия имеют отверстия, в которых винт за счет шляпки надежно фиксирует перелом.
Все пластины имеют определенные функции:
- восстановление нормальной анатомии кости;
 - ускорение сращения;
 - ранняя нагрузка на прооперированный участок.
 
Но для того, чтобы установить пластину на кость требуется большое количество инструментов. И они были разработаны, благодаря чему операция проходит быстрее.
Послеоперационный период
Реабилитация после снятия пластин протекает легче, чем при установке. Например при удалении импланта с голеностопного сустава будет ограничена подвижность 2 недели с ходьбой на костылях. Также врач может дать следующие назначения:
- физиотерапевтические процедуры;
 - массаж;
 - комплекс лечебной гимнастики;
 - перевязки;
 - снятие швов не ранее чем через 12 дней после вмешательства;
 - сдача анализов мочи, крови;
 - измерение давления;
 - наблюдение у травматолога по месту жительства;
 - прием антибиотиков, обезболивающих средств.
 
Ключом к успешной реабилитации являются постепенно нарастающие физические нагрузки. В случаях снятия металлоконструкций с суставов, например шурупа скрепляющего медиальную щиколотку, следует повторная разработка подвижности сочленения. Возможен повторный отек в более слабой форме, чем в первый раз. Физиотерапия играет главную роль в процессе возвращения к нормальной жизни.
Медицинская реабилитация голени
Важно начать реабилитацию как можно раньше, как только пациент сможет подниматься на ноги и на костылях доходить до физиотерапевтического отделения. Принцип восстановительного периода – реабилитация проводится непрерывно и в комплексе.
Основа реабилитации – специальная гимнастика. Специальные упражнения улучшают кровообращение, это ускоряет срастание костей, восстановление двигательного объёма суставов. Надо предупреждать гиподинамию, на фоне которой развиваются контрактуры: пневмония, тромбоэмболия и др.
Нижняя конечность
Операцию проводят при переломах костей конечностей, поэтому часто процедуру назначают для сращивания твердых тканей руки, ноги, бедра. Остеосинтез плечевой кости можно провести по методу Демьянова, используя компрессирующие пластинки, или же фиксаторы Ткаченко, Каплана-Антонова, но со съемными контракторами. Назначают манипуляцию при переломах на диафизе плечевой кости, если консервативная терапия не приносит успеха.
Другой вариант операции предусматривает лечение штифтом, который нужно ввести через проксимальный отломок. Для этого медику придется в зоне повреждения обнажить переломанную кость, найти бугорок и разрезать кожу над ним. После этого шилом делают отверстие, через которое вбивают стержень в костномозговую полость.
Если у больного диагностирован внутрисуставный перелом локтевого отростка, лучше всего провести операцию по установке металлоконструкций. Процедура проводится сразу же после травмы. Остеосинтез локтевого отростка требует фиксации отломков, но перед этой манипуляцией медику нужно будет полностью устранить смещение. Гипс пациент носит 4 и более недель, так как это место тяжело поддается лечению.
Одна из самых популярных методик проведения остеосинтеза — сращивание по Веберу. Для этого специалист использует титановую спицу (2 шт.) и проволоку, из которой делают специальную петлю. Но в большинстве случаев подвижность конечности будет ограничена навсегда.
Отдельно следует рассмотреть разные переломы дифизов костей голени. Чаще всего пациенты приходят к травматологу с проблемами большеберцевой кости. Она является самой крупной и наиболее важной для нормального функционирования нижней конечности. Раньше медики проводили длительное лечение с помощью гипса и скелетной вытяжки, но данная технология неэффективна, поэтому сейчас используют более стабильные методики.
Остеосинтез большеберцовой кости — процедура, которая позволяет сократить время реабилитации и является малоинвазивным вариантом. В случае перелома дифиза специалист установит блокируемый стержень, а внутрисуставные повреждения вылечит методом введения пластины. Аппараты внешней фиксации используются для сращивания открытых переломов.
Остеосинтез лодыжки показан при наличии большого количества раздробленных, винтообразных, ротационных, отрывных или оскольчатых переломов. Операция требует обязательного предварительного снимка рентгена, а иногда нужна томография и МРТ. Закрытый тип повреждения сращивают с помощью аппарата Илизарова и вводят спицы в поврежденное место.
Бедренная кость
Такие переломы считаются крайне серьезными, а чаще всего их диагностируют у пожилых людей. Перелом бедренной кости бывает 3 типов:
- в верхней части;
 - в нижней части;
 - бедренный диафиз.
 
В первом случае операцию проводят, если общее состояние пациента удовлетворительное и у него нет вколоченных повреждений шейки бедра. Обычно хирургическое вмешательство проводят на третьи сутки после получения травмы. Остеосинтез бедренной кости требует применения таких инструментов:
- гвоздь трехлопастный;
 - винт канюлированный;
 - пластина г-образная.
 
Перед операцией пациенту обязательно проведут скелетное вытяжение, сделают рентген. В ходе репозиции медики точно сопоставят отломки костей, после чего зафиксируют их необходимым инструментом. Техника лечения серединного перелома этой кости требует применения трехлопастного гвоздя.
В переломах второго типа операцию назначают на 6-й день после травмы, но до этого больному обязательно делают вытяжку скелета. Медики используют для сращивания стержни и пластины, аппараты, которые будут фиксировать пораженный участок внешним способом. Особенности процедуры: категорически запрещено проводить больным в тяжелом состоянии.
После такой процедуры перед пациентом встает вопрос о том, нужно ли проводить удаление пластины, ведь это еще один стресс для организма. Такая операция остро необходима, если не произошло сращивание, диагностирован ее конфликт с любой структурой сустава, что вызывает контрактуру последнего.
Другие факторы для проведения операции по удалению пластины:
- инфекционный процесс;
 - миграция или перелом металлоконструкции;
 - плановое пошаговое удаление как часть восстановления (этап заложен в ход всего курса лечения);
 - занятия спортом;
 - косметическая процедура по удалению рубца;
 - остеопороз.
 






