Вынашивание ребенка предполагает оказание нагрузки на весь организм будущей матери, включая тазобедренные суставы.
Иногда болевой синдром в тазу возникает еще в последнем триместре и продолжается после родоразрешения, причем такая патология может затрагивать даже вполне здоровых женщин.
Как появляется болезнь
Расширение тканей формируется в несколько шагов: тазовые кости разрыхляются, размягчаются, отекают, растягиваются, расширяются, расходятся. После происходит разрыв и начинается воспалительный процесс, который называется симфизит.
Бедра могут делаться шире после и уже во время вынашивания ребенка. Появляется данная проблема по причине изменений, происходящих в организме женщины, с целью облегчить процесс родоразрешения. Это естественная реакция организма, когда бедра становятся шире после этого.
Тело выделяет такое вещество, как релаксин. Его функция в расслаблении, увеличении подвижности суставов расстояния между бедренными соединениями. Увеличение лонного членения бывает шириной на 5-6 мм. Со временем все занимает привычное положение: хрящи становятся плотнее, связки эластичнее, а суставная щель приобретает былую ширину.


Физиологические причины болевого синдрома
Наиболее частая причина болей в тазобедренном суставе — это нарастающая по мере увеличения срока беременности статическая и динамическая нагрузка на это сочленение. Происходит увеличение массы тела самой беременной женщины, увеличивающаяся матка оказывает непосредственное давление на сустав — все это провоцирует боль. В этом случае боль, как правило, ноющая, умеренной интенсивности, но достаточно продолжительная, иногда практически постоянная.
Неприятные ощущения усиливаются при длительном стоянии или ходьбе, могут усиливаться во второй половине дня. Понятно, что такая боль полностью исчезнет только после родов, когда исчезнет дополнительная нагрузка. Вместе с тем неприятные ощущения при беременности негативно сказываются на психологическом состоянии женщин, поэтому необходимо выполнять несложные рекомендации, чтобы уменьшить боль. Например, следующие:
- исключить или сократить длительные прогулки или стояние на одном месте;
- стараться чередовать процесс ходьбы со стоянием или (что лучше) непродолжительным отдыхом в горизонтальном положении;
- по возможности в сидячем положении поднимать ноги выше пола (на скамеечку) для улучшения оттока крови.
Еще одна причина болей в тазобедренном сочленении — это гормональная перестройка, подготавливающая организм женщин непосредственно к процессу родов.
Под влиянием женских половых гормонов происходит размягчение сочленений тазового кольца и тазобедренного сустава, увеличивается расстояние между суставными поверхностями. Эти изменения необходимы для более свободного прохождения будущего ребенка по родовым путям. Боли выражены умеренно, но имеют продолжительный характер и полностью проходят только после родов. К сожалению, никаких кардинальных способов устранения такой боли не существует. В данном случае отдых в горизонтальном положении может несколько облегчить такие изменения при беременности.
Симптомы недуга
Таз стал шире после по причине ослабления лобковой кости. Признаки симфизиопатии могут проявляться и до появления ребенка на свет. В случае когда девушка не получает достаточное количество микроэлементов и минералов. Это приводит к кальцевому голоданию, провоцирующему возникновение слоистости ногтей, частых судорог, разрушению зубов, утомляемости. Для заболевания особенно характерны частые боли, покраснения и отеки. Могут нарушаться движения и проявляться признаки лихорадки.
Во время расхождения таза часто появляются блуждающие боли. Такие симптомы можно ошибочно спутать с диагнозом остеохондроза и радикулита.
Если во время беременности расходятся соединения, создается угроза прерывания.
Прочтите также Почему болит лобковая кость после родов: что делать?
Когда начинают расходиться ткани при беременности? Неприятные ощущения проявляются во время 2-3 триместра: боли напоминают о себе при длительной ходьбе или стоянии. Подобные состояния встречаются специалистами очень часто. На каком сроке начинают беспокоить боли, однозначного ответа дать нельзя. Болезнь в состоянии иметь скрытый характер.
Во второй половине периода вынашивания ребенка мышцы пресса напряжены, чтобы сдерживать лобковые соединения естественным способом. После сходятся тазовые кости не сразу и брюшной пресс поначалу достаточно дряблый.
Симфизиопатия –это достаточно сильное расслабление лонного сочленения. Является одним из проявлений характерного для данного периода токсикоза, с поражением системы тканей и суставов. Диагноз приобретает хронический характер. Симфизиопатия не касается физиологических процессов, когда временно разошлись кости при родах.
Причины боли в тазобедренном суставе
Исходя из вышесказанного, можно выделить следующие причины, почему болит тазобедренный сустав во время беременности. Это происходит потому, что:
- размягчаются компоненты сустава под влиянием гормональных изменений;
- обостряются хронические костные заболевания;
- «напоминает» о себе старая травма.
Следует сказать, что именно тазобедренный сустав несет на себе львиную долю нагрузки по вынашиванию малыша. Велика его роль и в процессе родовой деятельности, особенно при крупном плоде, узком тазе у женщины или сочетании этих факторов.
Необходимо отметить, что в случае узкого таза у беременной женщины или крупного плода, а также при сочетании этих факторов возможно патологическое течение родов, которое может привести к расхождению лобковых костей, что сопровождается интенсивной болью. При этом после рождения ребенка женщина жалуется на сильную боль в зоне лонного сочленения, особенно во время движения ног, которая нарастает при пальпировании. При диагностировании расхождения лобковых костей, как правило, назначают медикаментозную терапию, фиксирующие повязки и постельный режим в течение 3-5 недель.
Степени и причины симфиза
Различают несколько степеней расширения тазовых костей после родов:
- Первая степень – от 5 до 9 мм.
- Вторая степень – от 10 до 20 мм.
- Третья степень – более чем 20 мм.
Возникновение симптомов недуга говорит о нарушении обмена кальция и фосфора в организме и дефиците витамина группы D (немалое количество содержится в сливочном масле, морской рыбе, яичных желтках, сыре, икре, грибах и печени). Как следствие, формируются болезни щитовидной железы, нарушается работа кишечника, есть риск появления сахарного диабета и почечной недостаточности.
Недомогания подобного характера дают о себе знать при скудном питании, лишенном питательной ценности и нужных веществ либо при сильном токсикозе, когда вся польза из пищи не успевает поступать в достаточной мере.
Причины возникновения болей
Большую роль играет ведение здорового образа жизни не только во время, но и до наступления радостного момента. Активные физические нагрузки до беременности укрепят позвоночник, мышцы тела, суставы станут более эластичными. Это позволит избежать множества проблем, связанных с возрастанием нагрузки на опорно–двигательный аппарат и изменением центра тяжести тела женщины в этот период.
Наличие заболеваний опорно-двигательного аппарата.
Если женщина до беременности имела заболевание, связанное с нарушением работы опорно-двигательного аппарата: остеохондроз, искривление позвоночника, артроз тазобедренного сустава, травмы костей, слаборазвитые мышцы таза, то риск возникновения тазобедренных болей при беременности возрастает до 30 — 50%, а после родов увеличивается до 70%.
Недостаток микроэлементов. В период беременности возрастает потребность организма в микроэлементах. Беременная женщина в сутки должна получать до 1.5 г. кальция и столько же фосфора.
Недостаток одного из элементов может привести к нарушению фосфорно-кальциевого обмена и как следствие, к остеопорозу (хрупкость костей), и остеомаляции (размягчение костей и их деформация).
Огромные изменения в организме беременной женщины связаны с половыми органами. Матка беременной женщины за 9 месяцев вырастает из размера в кулак с размером в огромный арбуз. Такой рост матки дает дополнительную нагрузку на тазобедренный сустав, а также может вызвать защемление седалищного нерва, тем самым спровоцировав развитие пояснично-крестцового радикулита.
Частой причиной возникновения ноющих тазобедренных болей в поздний период беременности является естественная подготовка организма к родам. Благодаря действию гормонов, межкостные соединения размягчаются, мышцы и связки расслабляются, становятся эластичными, происходит постепенное расхождение костей таза. Бытовые проблемы, переутомление беременной женщины, повышенная активность при возросшей массе тела, плохой отдых из-за неудобного матраса (слишком жесткий или мягкий) также могут спровоцировать боли в бедре.
Узнать о том, какие таблетки нужны для лечения остеопороза можно тут.
Здесь размещена информация о том, какие анализы надо сдавать и какие обследования необходимо проходить, чтобы на ранних стадиях определить остеопороз.
Важную роль при выяснении причин, повлекших развитие тазобедренных болей, играет ее локализация:
- Если болит внутренняя сторона бедра, то чаще всего это связано с естественной подготовкой организма к родам: расхождение тазовых костей, растяжение мышц, связок.
- Если болезненные ощущения возникают в тазу и/или болит бедро ближе к ягодичным мышцам, то можно говорить о воспалении седалищного нерва – пояснично-крестцовом радикулите.
- Локализация боли в лобковой кости может указывать на расхождение лона – симфизит.
Часто диагностика тазобедренных болей затруднена, так как болезненные ощущения иррадиируют в коленный сустав и лечение начинается с него.
Диагностирование
Когда начинают расходиться кости таза при беременности ощущения довольно неприятные. Теперь все шире, чем обычно, и это вызывает выраженную симптоматику. Недомогание усиливается во время попыток ходьбы, движения или смены положения. В целях облегчить неприятные ощущения девушка интуитивно принимает позу «лягушки»: лежа на спине сгибает колени и разворачивает бедра.
Прочтите также Белок в моче после родов: причины и норма
Характерным симптомом того, когда таз после родов слишком разошелся, станет медленная, перекачивающаяся из стороны в сторону, походка. Её можно пронаблюдать еще в период вынашивания малыша. Уточнить диагноз врач в силах только при тщательном осмотре поврежденного участка. Пальпация поможет выявить степень болезненности с обеих сторон. Мера углубления определяется надавливанием подушечкой пальца.
Профилактика болевого синдрома
Поскольку беременность предъявляет повышенные требования к женскому организму, то при возникновении болей в тазобедренном суставе необходимо обратиться к врачу для установления истинной причины боли и назначения корректного безопасного лечения.
В целом, если болят тазовые кости, следует придерживаться ряда простых правил, а именно:
- чаще отдыхать;
- регулярно держать ноги в горизонтальном положении для предупреждения отеков и варикоза;
- двигаться медленно и плавно;
- избегать нагрузок и не носить тяжести;
- принимать поливитамины (по назначению врача);
- выполнять упражнения на расслабление мышц.
Кроме того, в течение беременности и при недержании мочи рекомендуется выполнять упражнения на укрепления мышц тазового дна, которые помогут в родах и ускорят восстановление женского организма после рождения малыша.
Эти нехитрые правила помогут сохранить хорошее самочувствие и подготовиться к трудному и ответственному процессу родов.
У женщин в период беременности часто болят тазобедренные суставы (ТБС). Дискомфорт может появиться и в середине срока, и в последний триместр. Иногда боли вызваны незначительными причинами и исчезают после родов. В других случаях ломота не дает спать по ночам, мешает нормально ходить, не проходит после рождения ребенка. В статье перечислены все варианты, почему возникает боль в тазовых костях и что надо предпринимать женщинам при ее появлении.
Эффективные методы диагностики:
- Ультразвук. Способ отличается повышенной безопасностью: не несет вреда матери и ребенку. Обеспечивает полное и точное изучение.
- Рентген. Этот метод в силах выявить только растягивание, наличие патологий при этом не определяется. Рентгеновские лучи наносят вред ребенку.
- Анализы. Результаты помогут обнаружить степень наличия в крови и моче концентрации калия и магния.
Данные манипуляции в силах спрогнозировать проблему, если отсутствуют жалобы и узнаваемые симптомы.
Когда обращаться к врачу
Если постоянно беспокоит тянущая или резкая боль в области таза, возникают прострелы, которые сопровождаются тошнотой и рвотой, повышенным потоотделением, нужно обязательно записаться на консультацию к травматологу или ортопеду и пройти полное обследование.
Причиной для беспокойства должны стать сильные головокружения и потеря сознания (даже кратковременная), вагинальное кровотечение, жар и озноб. Опасным считается резкое падение артериального давления. Перечисленные настораживающие признаки – серьезный повод для вызова скорой помощи.
Лечение
При условии правильного и своевременного лечения, операции очень часто удается избежать.
Во время несильного расширения, когда восстановление таза после родов происходит быстро, врачи настоятельно рекомендуют:
- ограничить любую физическую активность;
- носить плотный бандаж;
- спать на специальном матрасе;
- принимать капсулы рыбьего жира и препараты богатые кальцием, магнием;
- при надобности принимать обезболивающие вещества в капсулах, свечах, таблетках и мазях.
Если ситуация серьезней:
- главная задача – добиться схождения лобковых соединений и удержать их в нужном положении;
- необходим строгий постельный режим сроком на 2-6 недель;
- поможет бандаж и тугое бинтование;
- назначается физиотерапия и холодные компрессы;
- дополнительно принимаются противовоспалительные, антибактериальные и анестетические препараты;
- рекомендуется придерживаться специальной диеты с высоким содержанием кальция.
В чем опасность при беременности и после
В 99% случаев яркая клиническая картина заболевания проявляется после родов. Во время беременности женщину беспокоят только разной степени боли, которые проходят после отдыха. Если не обратить на них внимание и не предпринять соответствующие меры, можно столкнуться не только с расхождением лонного сочленения после родов, последствиями могут стать травмы или даже разрыв мочевого пузыря, уретры, клитора и т.д.
Чаще всего приходится иметь дело с одиночным симфизиолизисом. При этом на вторые-третьи сутки после родов женщина обнаруживает, что не может подняться с постели и ухаживать за малышом.
Лечение патологии требует длительной (иногда несколько месяцев) иммобилизации в определенном положении, что делает невозможным обычную жизнедеятельность молодой мамы. Часто требуется серьезное оперативное вмешательство по фиксации лонных костей.
Профилактические меры
Чтобы не думать, когда начнут расходиться ли кости таза при беременности и во избежание повреждений лонного сочленения в будущем, нелишним будет придерживаться определенных правил.
- Соблюдать сбалансированную богатую на все минералы диету. Употреблять достаточное количество еды, которая содержит марганец, хлор, кальций, магний, натрий и фосфор. Источники: йогурты, сметана, сыры, домашний творог, молоко, яйца (особенно желток), мясо кролика, курица, телятина нежирная, рыба и креветки, икра, бобовые (горох, фасоль, нут, кукуруза), орехи (миндаль и кешью), зелень и грибы.
- Обеспечить себе достаточную активность: заниматься легкими видами спорта, посещать специализированные курсы, много гулять.
- Бывать на свежем воздухе.
- Принимать нужные таблетки и добавки дополнительно к правильному питанию.
- Регулярно посещать гинеколога и следовать всем рекомендациям врачей.
Прочтите также Эндометриоз после беременности и родов: симптомы, лечение
Как диагностировать патологические изменения
- Объективные данные.
Кроме сбора жалоб на боли в соответствующей области, изучения анамнеза, врач проводит осмотр и пальпацию, чтобы выяснить расстояние между костями таза, оценить функцию сочленений. Также при разрыве лонного сочленения или симфизите пациентка не сможет поднять ноги в разогнутом положении вверх лежа на твердой кушетке. Могут возникнуть затруднения при передвижении вверх по лестнице, изменение походки, что является диагностическими критериями для постановки данного диагноза.
- Рентгенография.
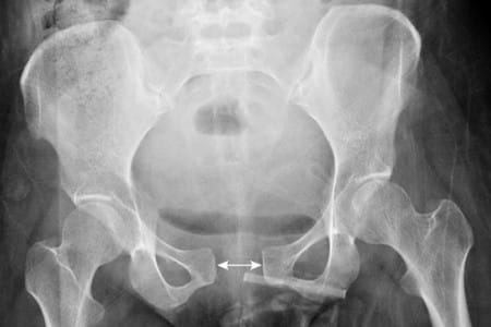
Основным методом исследования, который является лакмусовой бумажкой в диагностике послеродовых травм и поражений связочного аппарата таза, остается рентгенография. Именно благодаря ей можно поставить такие диагнозы, как «симфизит», «разрыв сочленений», «перелом и вывих копчика», «сакроилеит».
По рентгенологическим данным выделяют 3 стадии, или степени тяжести, симфизита:
- I стадия – расстояние между тазовыми костями от 0,5 см до 1 см;
- II стадия – от 1 см до 1,9 см;
- III стадия – больше 2 см.
При увеличении расстояния более 2-3 см стоит задумываться о разрыве лонного сочленения.
Когда все приходит в норму
Резь, неприятные ощущения, увеличение в объемах – регулярные жалобы женщин, ждущих малыша и переживающих, что их бедра стали шире в размере. Растяжение и размягчение тканей является естественным процессом для легкого выхода крохи. Явление это временное. Конечно, пары дней будет недостаточно, для того чтобы все стало на место.
Через сколько после родов и как долго обратно сужаются соединения бедра, сказать сложно. В значительной части случаев, после появления крохи на свет и завершения процесса грудного вскармливания, гормональный фон полностью восстанавливается.
После родов сходятся кости быстро при:
- активном образе жизни;
- умеренных нагрузках;
- правильном питании.
Образовавшиеся жировые отложения уйдут, соединения займут привычное положение и внешний вид девушки приобретет былые контуры. Чтобы ускорить процесс, некоторые проявляют желание лечь под нож хирурга. Это ошибочное мнение, поскольку организму все равно требуется должное время для восстановления после пережитого стресса. Он сам придет в норму, когда нужно, и шире после этого тело больше не будет.
Профилактика
Боли в тазобедренных суставах можно не допустить, если с первых недель беременности соблюдать профилактические меры:
- Употреблять больше продуктов с кальцием. Норма этого вещества для женщины в положении – 2-3 грамма в сутки. Если не получается добрать кальция с едой, следует пить специальные препараты (биоактивные добавки, разрешенные к употреблению при беременности).
- Не поднимать тяжестей, по возможности избегать опасных случаев, когда повышается риск упасть или получить травму ТБС.
- Избегать высоких каблуков. Как показывает практика, большинство случаев вывихов в тазобедренном суставе случается именно из-за неправильной обуви беременными женщинами.
- Следить за осанкой, не допускать смещения центра тяжести. Начиная с 3 триместра беременности, следует носить ортез (удерживающий пояс), чтобы перераспределить механическую нагрузку на скелет и суставы.
- Укреплять мышцы и связки. При беременности полезными будут йога и специальная гимнастика. Эти занятия научат расслабляться, правильно дышать, подготовят тело к процессу родов.
Беременным рекомендуется плавать в бассейне – это оказывает благотворное влияние на весь организм.
Беременным рекомендуется плавать в бассейне – это оказывает благотворное влияние на весь организм. Плавание убирает давление на позвоночник, массирует, укрепляет мышцы. Во время плавания нагрузка на суставы снижается, и женщина может тренироваться, не рискуя повредить ТБС.
Беременность – серьезное испытание для женского организма. К нему следует готовиться заранее, принимать профилактические меры, чтобы избежать неприятных последствий – в том числе болей в тазобедренном суставе. Если же они все равно возникли, то стоит обследоваться у врача, выяснить причину. Лечение болей у беременных возможно строго по рекомендации врача, самостоятельный прием каких-то медикаментов может отразиться на ребенке.
Человеческий организм включает почти столько же суставов, сколько дней в году! Вдумайтесь, какое число потенциальных болевых центров сидит внутри нас. Болезненные ощущения и так докучают женщинам в послеродовый период. А если ещё взбунтовались суставы…
Причинно-следственные связи
Каждая вторая роженица жалуется на болезненность подвижных сочленений. Чаще всего беспокоят суставы:
- спины;
- ног;
- рук: плечи, локти, запястья;
- тазобедренные.
Причины могут быть обусловлены физиологическими факторами или заболеваниями.
Физиология
При рождении ребёнка суставы прилично смещаются. Добавляется нагрузка лишнего веса на позвоночник и ноги. Боль в спине обусловлена очередным смещением центра тяжести. Позвоночник может даже изогнуться вперёд. У подавляющего числа женщин болят суставы ног после родов.
В ходе беременности хрящи костных тканей становятся мягкими и набухшими. Любое неправильное положение частей тела роженицы вызывает боль. Она также возникает из-за стремления подвижных сочленений вернуться назад. Это пройдёт, как только соединения займут привычное место. Состояние, как правило, нормализуется максимум за два месяца.
Болезни
- Избыточное расхождение тазовых костей либо травма копчика. Такие повреждения могут случиться во время родов. Чаще после родов болит тазобедренный сустав.
- Воспаление. Наблюдается если, появились отёки в очагах боли или повысилась температура. Обычно фиксируется при затянувшемся болевом синдроме. Симптомы указывают на артрит либо артроз.
- «Спящее» заболевание. Проявляется потому, что беременность с родами истощают организм, делая уязвимыми многие органы с системами.
- Дефицит кальция, калия и магния. Поскольку минеральные резервы организма направляются на развитие и дальнейшее вскармливание малютки, то образуется нехватка этих веществ в суставах матери.
- Частое и длительное ношение тяжестей. Женщине допустимо поднимать не более трёх килограмм. Но вес малыша изначально превышает эту норму. Тем более маме приходится брать, спускать и поднимать тяжёлую коляску.
Иногда причинами несносных ощущений могут стать неудобная обувь мамы или ручки коляски, неподходящие ей по росту. При этом роженицы больше жалуются на то, что после родов болят суставы рук с запястьями.
План действий
Самостоятельно можно сделать только пару вещей:
- Следить, чтобы вес поднимаемых объектов был небольшим. Даже ребёнка следует поднимать реже и держать кратковременно. При возможности попросите, чтобы папа или родные подавали вам малыша, когда вы сидите или лежите.
- Оценить, насколько удобны обувь, устройство коляски и прочие предметы обихода.
Если вы приняли меры, а боль не отступает, то обращайтесь к гинекологу или терапевту. Последний может направить вас к ревматологу либо травматологу. Не откладывайте визит к доктору, надеясь на то, что боль исчезнет по окончании послеродового периода.
Бывает, что к физиологическому состоянию прибавляются заболевания. А они требуют немедленного лечения, поскольку с течением времени ситуация лишь усугубляется.
Возможные рекомендации и назначения врача
После вашего обращения с жалобами на боль в суставах после родов проводятся осмотр с диагностикой. Даются некоторые из следующих назначений:
- приём витаминных комплексов с Ca, Mg и K;
- здоровый образ жизни;
- умеренность в питании;
- гимнастические упражнения;
- мануальная терапия;
- ЛФК и массаж;
- иглорефлексотерапия;
- ношение бандажа;
- эластичный бинт;
- ортопедический матрас.
Перед выписыванием лекарственных средств сообщите врачу, если кормите грудью, чтобы он учёл это при назначении препаратов.
Среди них распространены:
- противовоспалительные травы;
- термопластырь;
- крем или гель «Долгит»;
- мазь, таблетки, капсулы для лечения суставов.
С целью профилактики рекомендуются:
- правильное питание во время беременности;
- допустимая, а не избыточная прибавка массы тела беременной;
- занятия физкультурой.
Продолжить занятия фитнесом можно через три месяца после рождения малыша или раньше при хорошем самочувствии и желании больше двигаться. Главное обойтись без резких нагрузок.
Так бывает
У кого-то боли прошли после возобновления менструаций, с наступлением новой беременности или после прекращения грудного вскармливания. Однако не стоит специально отлучать дитя от груди, пока не испробовали альтернативные методы. Для растяжки спины помогает вис на турнике.
Боли характерны для вторых и последующих родов вследствие не совсем юного возраста матери. Проявляются возрастные изменения опорно-двигательного аппарата. При ревматоидном артрите пластыри усиливают боль. А бесконтрольный приём кальцесодержащих препаратов может вызвать преждевременное окостенение хрящей у ребёнка с зарастанием родничка.
Заметили, что после рождения ребёнка болят суставы? Постарайтесь по следствию выявить причину. Только две вещи по силам исправить самостоятельно. В остальных случаях отправляйтесь к доктору. Приведённые выше врачебные рекомендации и назначения носят справочный характер. Для исключения рецидива проводите профилактические мероприятия.
Роль кальция в состоянии роженицы
Уже на 30–34 неделе можно заметить, что беременная начинает непроизвольно откидывать корпус назад, стараясь переносить вес. Природой заложено и другое – изменение походки на «утиную», когда женщина переваливается с ноги на ногу. Но к этому моменту будущая мамочка уже успевает привыкнуть к неприятным потягиваниям в области поясницы, даже к болям. Они могут быть спровоцированы недостаточным количеством кальция. Это становится причиной развития симфизиопатии, потому наблюдающий беременную женщину доктор обязательно прописывает кальций.
Основные причины патологии
После рождения малыша суставы рук и ног могут побаливать из-за следующих факторов:
- Получение вывиха. Процесс родов зачастую влечет различные осложнения, вывихи зарабатывает около половины рожениц.
- Использование анестезии. Если у матери имеются противопоказания к применению обезболивающего препарата, при его введении существует вероятность появления проблем с суставами.
- Накопление жидкости в организме. Часто при жалобах на подобные отклонения медики диагностируют у пациентки чрезмерное количество жидкости в организме (явления характерно для периода кормления грудью).
- Несоблюдение врачебных рекомендаций и отсутствие реабилитации после родов. Специалисты предупреждают, что после появления малыша женщине желательно отказаться на некоторое время от физических нагрузок и тренировок. Организму необходимо отдохнуть и отойти от стресса. Если игнорировать этот этап, могут возникнуть сложности с суставами.
- Наличие проблем с опорно-двигательным аппаратом.
- Малоподвижный образ жизни при беременности.
- Появление лишнего веса.
- Чрезмерная выработка релаксина. Гормон размягчает хрящи и связки.
- Нехватка витаминов и минералов (особенно негативно сказывается нехватка кальция).
В любом случае сказать, почему появились боли в суставах и какие причины вызвали отклонение, сможет лишь медик после осмотра.










