Откуда берутся зубные проблемы?
Многие из нас переживали в жизни периоды, когда при одинаковом уходе за ротовой полостью зубы чувствовали себя хуже, были склонны к болезненности и разрушению. Психологи возлагают ответственность за это на неустойчивую человеческую психику, а парапсихологи и вовсе оперируют таким понятием, как «метафизические факторы» зубных болей.
Объясним это понятным языком. Известно, что зубы — первый орган, участвующий в пищеварительном процессе. Они занимаются измельчением пищи до состояния, приемлемого для желудка. А с другой стороны, какой орган первым «переваривает» интеллектуальную и духовную пищу? Верно, головной мозг. Как любая твердая пища может усложнить жевание или даже повредить зуб, так и жизненные обстоятельства, непредвиденные проблемы становятся душевным испытанием. Нерешительные, слабые духом люди хуже других справляются с выпавшими на их долю неприятностями, и резкая боль в зубах может быть одним из проявлений внутреннего неблагополучия.
Когда человек боится попасть в западню, чувствует себя бессильным и не может дать отпор обидчику, зубная боль свидетельствует о неумении постоять за себя, «вгрызться зубами» во врагов и бороться за свое счастье. Если зубы разрушаются от износа, то это, скорее, признак плохого окружения, которое пользуется человеком и крадет у него жизненную энергию. Молчаливое ожидание изменений в надежде на лучшие дни (без предпринятия активных шагов со своей стороны) обрекает личность на стагнацию.
Нервные тики у детей
Подобные расстройства в детском возрасте бывают нескольких видов.
Проходящее тиковое расстройство начинает проявляться в раннем школьном возрасте. Его длительность составляет от 1 месяца до 1 года. Чаще случаются двигательные виды тика. В основном характерны для детей с задержкой развития и с аутизмом.
Хроническое расстройство случается в возрасте до 18 лет. И длится от 1 года и выше. При этом развиваются либо двигательные, либо вокальные тики. Чем в более раннем возрасте проявились патологические симптомы, тем легче и быстрее они проходят.
Синдром Туретта – множественное тиковое расстройство, характеризующееся как моторными, так и двигательными его видами. Тяжелое заболевание, которое с возрастом, однако, смягчается.
Особый вид недуга, для которого также характерны признаки нервного типа – малая хорея. Он развивается на фоне инфекций, вызванных стрептококком: ангина, тонзиллит, ревматизм. Сопровождается патологическими изменениями нервной ткани.
Наряду с гиперкинезами, эмоциональной неустойчивостью, раздражением, неусидчивостью и беспокойством, данному состоянию соответствуют невротические изменения лица. Они выражаются в напряжении и спазмировании лицевых мышц, что часто принимают за гримасничанье. Наблюдается также спазм гортани, проявляющийся в неадекватных криках.
В школе таким детям, не зная истинную причину гиперкинезов лица, да еще и в сочетании с повышенной активностью, делают замечания, выгоняют из класса. Подобное отношение к ребенку вынуждает его пропускать школьные занятия, избегать походов в школу. Лечение малой хореи, наряду с назначением успокоительных средств, включает в себя антибиотики для борьбы с инфекцией и противовоспалительные препараты.
Нервный тик накладывает на психику ребенка более тяжелый отпечаток, чем на взрослого. Он нередко становится причиной тревожности и отстраненности, ухода в себя, даже провоцирует депрессивные расстройства. Вызывает нарушения сна, речевые затруднения, сложности в обучении.
Тиковые расстройства приводят к искаженному самовосприятию, снижению самооценки.
Родителям таких детей советуют не акцентировать внимание ребенка на проблеме. Наоборот, рекомендуют найти способы переключения внимания и повышения самооценки
Особое место уделяется группам поддержки таких людей и общению в принципе.
Что такое депрессия?
Депрессия — это сочетание психических расстройств, возникающих в результате широкого спектра внутренних и внешних обстоятельств. Депрессия характеризуется подавленным настроением, потерей счастья и удовольствия, постоянным отчаянием. Однако патология включает в себя не только чувства или эмоции — депрессивный человек может испытывать проблемы с передвижением и утренним подъемом с постели.
Депрессия – это не просто подавленное настроение или кратковременные перепады настроения, она определяется каким-то стрессом, произошедшим в жизни. При этом у человека может быть все, чего кажется достаточно для полного ощущения счастья, но он все равно может страдать от депрессии.
Что сопровождает человека с депрессией? Очень хуже функционирует на работе, в школе или в семье. Есть и другие изменения, например, нарушение биологического ритма и проблемы со сном. Нелеченная депрессия может привести к суицидальным мыслям и попыткам. Статистика в этом отношении не внушает оптимизма – ежегодно заканчивают жизнь по своей воле 800 тыс. человек и это вторая причина смерти среди возрастной группы 15-29 лет.
Депрессия, наряду с гипертонией, сахарным диабетом, избыточным весом и ожирением, входит в группу заболеваний цивилизации. Это заболевание иногда связано со стигмой, что не способствует правильной диагностике и лечению.
Гайморит, киста верхнечелюстной пазухи, пропало обоняние после посещения стоматолога
Корни зубов верхней челюсти в норме могут прилежать к верхнечелюстным (гайморовым) пазухам носа и даже выстоять в них. Гайморит, киста верхнечелюстной пазухи и потеря обоняния возможны при проникновении инфекции или пломбировочного материала из зубов в околоносовые пазухи. К сожалению, это не редкость. Более того, часть случаев упорно рецидивирующего гайморита связана с инфекцией, проникающей из корней зубов. В этом случае возможный симптом – сильный неприятный запах из носа и изо рта.
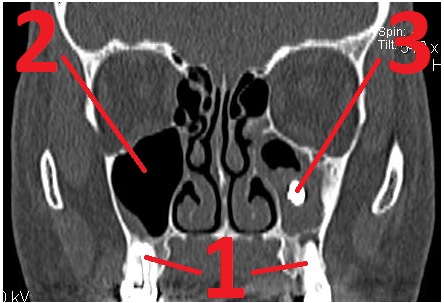
Одонтогенный гайморит после лечения у стоматолога
Одонтогенный гайморит (схема). Зубы и верхнечелюстная пазуха. Слева – норма. Справа – разрушен корень «семерки» (зуб 2_7), воспаление вокруг разрушенного корня, гной в гайморовой пазухе.
Пломбировочный материал в гайморовой пазухе и гайморит после пломбировки каналов «шестерки» (зуб 2_6). Боль в левой половине лица после посещения стоматолога.

Кисты верхнечелюстных (гайморовых) пазух при болезнях корней зубов.
1 – корни зубов, 2 – кисты верхнечелюстных пазух, растут от корней зубов (кисты – округлые «пузыри», на снимке выглядят серыми).
Чем мы можем Вам помочь:
- Найдем источник боли после лечения зубов;
- Проведем лечение воспалительных процессов, гайморита, синусита и неврологических осложнений, при необходимости Вашим здоровьем будут заниматься совместно невролог и ЛОР-врач. Лечение гайморита без прокола
Синдром самозванца
Дополнительный стресс возникает из-за необходимости конкурировать за рабочие места, иногда с близкими приятелями. И все это на фоне высокого уровня конкуренции между стоматологическими клиниками. На наше счастье, сегодня отсутствует принудительное распределение после ВУЗа, иначе последствия были бы непредсказуемы.
Точно так же начинающий стоматолог можете столкнуться с культурой и принципами работы, которые он не считает приемлемыми для себя. Либо он не попадет под присмотр более опытного наставника, как обычно бывает. И в момент, когда перед молодым специалистом предстанет действительно сложный клинический случай, эмоции, которые он испытает, будут самыми негативными.
Последствием всего вышеперечисленного может стать, так называемый, «синдром самозванца».
Антидепрессанты при депрессии
Антидепрессанты — средства, применяемые при депрессивных расстройствах, лечении депрессии, а также при купировании хронических болей. Благодаря своим действиям они используются не только при депрессии, но и при лечении некоторых тревожных расстройств, анорексии, булимии, нарушениях сна и т. д.
В зависимости от химического строения и механизмов действия выделяют несколько групп препаратов от депрессии, характеризующихся различными показаниями, противопоказаниями, побочными эффектами. К ним относятся, например:
- TLPD – трициклические антидепрессанты. Например, амитриптилин.
- Четырехцикловые антидепрессанты — например, мапротилин.
- СИОЗС — например, флуоксетин, пароксетин, циталопрам, эсциталопрам.
- Ингибиторы МАО (ИМАО). Например, селегилин, моклобемид.
В зависимости от группы они оказывают влияние на проводимость трансмиттеров или на рецепторы.
Препараты от депрессии основаны на нескольких механизмах действия, это:
- ингибирование обратного отведения NA (норадреналина) или 5HT (серотонин);
- замедление распада нейромедиаторов;
- влияние на синаптические рецепторы.
В зависимости от группы могут быть дополнительные действия, такие как облегчение засыпания (например, тразодон), анксиолитики (например, буспирон). Основное назначение этих препаратов — антидепрессивное действие, снижающее симптомы заболевания. Интересный препарат — бупропион, используемый также как один из методов отказа от курения.
Побочные эффекты этих препаратов очень широки и зависят от группы. Обычно возникают в начале лечения, имеют мягкий и преходящий характер. Некоторые из побочных эффектов:
- головные боли и головокружение;
- бессонница или повышенная сонливость;
- чрезмерное психомоторное возбуждение;
- боль в животе и тошнота;
- снижение концентрации внимания;
- нарушения зрения;
- проблемы с мочеиспусканием;
- сухость во рту;
- снижение либидо;
- повышенное потоотделение;
- снижение или увеличение аппетита и массы тела.
Характерные побочные эффекты в зависимости от групп антидепрессантов:
- TLPD – задержка мочи, запор, тахикардия;
- ингибиторы обратного захвата серотонина-норадреналина (SNRI) – снижение половой функции;
- СИОЗС – начальное обострение тревоги и тревоги;
- тразодон – приапизм;
- миртазапин – увеличение массы тела, сонливость.
В зависимости от лекарства может возникнуть повышенная чувствительность (аллергия) к действующему веществу.
Ограничения на применение некоторых препаратов возникают, например, из-за существующих заболеваний — глаукомы, гипертонии, сердечных патологий, проблем с печенью, применения других препаратов. В случае с антидепрессантами их не следует сочетать или назначать в специфической схеме с учетом нескольких часов интервалов между отдельными дозами препаратов с некоторыми препаратами из-за риска развития серотонинового синдрома.
Online-консультации врачей
| Консультация офтальмолога (окулиста) |
| Консультация пластического хирурга |
| Консультация радиолога (диагностика МРТ, КТ) |
| Консультация косметолога |
| Консультация кардиолога |
| Консультация трихолога (лечение волос и кожи головы) |
| Консультация пульмонолога |
| Консультация массажиста |
| Консультация детского невролога |
| Консультация маммолога |
| Консультация неонатолога |
| Консультация психиатра |
| Консультация педиатра-аллерголога |
| Консультация психолога |
| Консультация вертебролога |
Новости медицины
Футбольные фанаты находятся в смертельной опасности,
31.01.2020
“Умная перчатка” возвращает силу хвата жертвам травм и инсультов,
28.01.2020
Назван легкий способ укрепить здоровье,
20.01.2020
Топ-5 салонов массажа в Киеве по версии Покупон,
15.01.2020
Новости здравоохранения
Глава ВОЗ объявил пандемию COVID-19,
12.03.2020
Коронавирус атаковал уже более 100 стран, заразились почти 120 000 человек,
11.03.2020
Коронавирус атаковал 79 стран, число жертв приближается к 3200 человек,
04.03.2020
Новый коронавирус атаковал 48 стран мира, число жертв растет,
27.02.2020
Кариесы и заболевания десен
Главная опасность, которая подстерегает зубы во время стресса – это недостаток гигиены полости рта. Грусть и депрессия нередко делают человека небрежным – он с трудом справляется с повседневными делами, и порой совсем перестает чистить зубы, либо делает это не так тщательно, как нужно. Кроме того, состояние усугубляется лекарствами от депрессии, провоцирующими сухость во рту.
ВАЖНО: Вирус герпеса обычно присутствует в организме каждого человека, однако активизируется он только когда организм ослаблен, в том числе стрессом или недосыпом. В итоге из-за плохой гигиены во рту может легко развиться кариес или даже пародонтит
Так что даже во время очень сильных стрессов нужно постараться тщательно и регулярно чистить зубы и, желательно, ходить к стоматологу. Ведь стресс рано или поздно кончится, а здоровье зубов вернуть будет намного сложнее. А здоровые зубы сами по себе легко могут стать еще одним поводом для радости
В итоге из-за плохой гигиены во рту может легко развиться кариес или даже пародонтит. Так что даже во время очень сильных стрессов нужно постараться тщательно и регулярно чистить зубы и, желательно, ходить к стоматологу. Ведь стресс рано или поздно кончится, а здоровье зубов вернуть будет намного сложнее. А здоровые зубы сами по себе легко могут стать еще одним поводом для радости.
Патогенез (что происходит?) во время Изменений слизистой оболочки рта при заболеваниях нервной системы:
При данной патологии примерно у 20 % больных диагностируют ксеростомию. Жалобы на сухость во рту не всегда могут свидетельствовать о гипофункции слюнных желез. Были сделаны попытки определить наличие связи между стомалгией и дисфункцией слюнных желез. Имеются данные о снижении функции слюнных желез при стомалгии.
Учитывая, что большинство пациентов со стомалгией составляют женщины в периоде менопаузы, многие авторы высказывают предположение, что сухость во рту может быть следствием снижения функциональной активности слюнных желез в менопаузе. Однако большинство исследователей установили, что в менопаузе нет значительного снижения функции слюнных желез. Причинами ксеростомии могут быть сопутствующая соматическая патология и применение некоторых препаратов для ее лечения.
Некоторые авторы при гистологическом исследовании слюнных желез указывают на изменения в морфологии, другие отвергают эти данные.
Симптомы психосоматических заболеваний
Иногда врачи сталкиваются с ситуациями, когда не удается точно установить причину того или иного заболевания. Бывает, что никаких физиологичных предпосылок для развития заболевания нет, но болезнь прогрессирует.
Если медицинское обследование не может обнаружить физическую или органическую причину заболевания, или если заболевание является результатом таких эмоциональных состояний как гнев, тревога, депрессия, чувство вины, тогда болезнь классифицируется как психосоматическая.
Есть определенные сигналы того, что причина болезни лежит именно в области психологии:
- Частое повторение заболевания. Человек получает лечение согласно рекомендациям врача, но в итоге симптомы ненадолго исчезают и в скором времени появляются вновь. То есть, адекватное медикаментозное лечение не дает ожидаемого результата.
- Наличие психологической травмы или хронических стрессов. Если пациент знает, что у него был трудный период или что-то не так в личной жизни, лучше сразу обращаться и к терапевту, и к психотерапевту, что поможет скорее установить истинную причину заболевания и подобрать правильное лечение.
- Традиционное лечение не помогает – еще одна особенность психосоматического заболевания.
Как и чем лечить
Самым правильным решением будет посетить врача и с ним найти оптимальное лечение, которое (скорее всего) будет включать в себя:
ротивовоспалительные таблетки или уколы в период обострений — диклофенак, пироксикам, ибупрофен, кетопрофен, кеторолак, пироксикам, парацетамол, сирдалуд (не все сразу, а один из них). Комплексы витаминов группы В, Д, магний, калий для улучшения работы ЦНС и в целом эмоционального фона. Нелишним будут успокоительные: в зависимости от ситуации вам посоветуют принимать либо легкие травяные сборы или таблетки, либо антидепрессанты. Для снятия спазмов и расслабления мышц прописывают миорелаксанты. Самый безопасный на сегодня препарат – «Мидокалм». Ну и конечно, специальная гимнастика для челюстных мышц и суставов! Выполняйте утром и вечером. В качестве разминки пару раз широко откройте и закройте рот
Нам очень нравится данный комплекс упражнений:
Ну и напоследок самое важное: контролируйте себя. Многие даже не замечают, насколько у них напряжены мышцы, пока они не начинают болеть
Добавьте в свою жизнь больше пресловутой осознанности! Проверяйте себя в течении дня и перед сном: напряжена ли челюсть, насколько расслаблено тело в общем, сжаты ли зубы.
Невралгия тройничного нерва
Это ещё одно поражение структуры нервного волокна, которое чаще носит хронический характер и сопровождается периодами обострения и ремиссии.
Оно имеет несколько причин возникновения, которые разделяют на идиопатические – при ущемлении нерва, и симптоматические.
Главным симптомом невралгии становятся пароксизмальные ощущения в виде боли на лице и в ротовой полости.
Болевые ощущения имеют характерные отличия. Они «стреляющие» и напоминают разряд током, возникают в тех частях, которые иннервируются n.trigeminus. Появившись однажды в одном месте, они не меняют локализацию, но распространяются и на другие области, каждый раз следуя четкой однообразной траектории.
Характер боли – приступный, длится до 2 минут. В самый его разгар наблюдается мышечный тик, то есть мелкие подергивания мышц лица. В этот момент больной имеет своеобразный вид: он как будто застывает, при этом не плачет, не кричит, лицо не искажается от боли. Он старается производить минимум движений, так как любое из них усиливает боль. После приступа следует период затишья.
Акт жевания такой человек производит только здоровой стороной, в любой период. Из-за этого в пораженной области развиваются уплотнения или атрофия мышц.
Симптомы болезни довольно специфичны, и ее диагностика не составляет труда.
Терапия невралгии начинается с приема противосудорожных препаратов, которые составляют ее основу. Их доза подвергается строгой регулировке, назначается по определенной схеме. Представители этой фармакологической группы позволяют снизить возбуждение, степень чувствительности к болевым раздражителям. И, следовательно, уменьшить болевые ощущения. Благодаря этому у больных появляется возможность свободно употреблять пищу, разговаривать.
Применяют также физиотерапию. Если данное лечение не дает должного результата, переходят к оперативному вмешательству.
Лечение невралгии тройничного нерва
Лечение направлено:
- на устранение причины повреждения;
- на облегчение состояния пациента;
- на стимуляцию восстановления структур нерва;
- на уменьшение возбудимости триггерных зон.
Правильно подобранное лечение позволяет снизить частоту, интенсивность и длительность болевых волн, и в идеале добиться стойкой ремиссии.
Медикаментозное лечение
Тригеминальная невралгия требует комплексного лечения с использованием препаратов нескольких групп:
- противосудорожные (карбамазепин и аналоги): снижают возбудимость нервных волокон;
- миорелаксанты (баклофен, мидокалм): уменьшают мышечные спазмы, улучшают кровообращение, снижают болевые ощущения;
- витамины группы В (нейромультивит, мильгамма): стимулируют восстановление нервных волокон, оказывают антидепрессивное действие;
- антигистаминные (димедрол): усиливают действие противосудорожных средств;
- седативные и антидепрессанты (глицин, аминазин): стабилизируют эмоциональное состояние пациента.
При сильных болях могут быть назначены наркотические анальгетики. Раньше активно использовались лекарственные блокады (обкалывание проблемной зоны анестетиками), но сегодня этот способ лечения почти не используется. Он способствует дополнительному повреждению нервных волокон.
В обязательном порядке проводится лечение первопричины заболевания: устранение стоматологических проблем, прием препаратов для улучшения мозгового кровообращения и т.п.
Физиотерапия и другие немедикаментозные методики
Немедикаментозные методы хорошо дополняют лекарственную терапию и способствуют стабилизации состояния пациентов. В зависимости от состояния и сопутствующих заболеваний могут быть назначены:
ультрафиолетовое облучение: тормозит прохождение импульсов по нервным волокнам, оказывая обезболивающее действие;
лазерная терапия: снижает болевые ощущения;
УВЧ-терапия: улучшает микроциркуляцию и предотвращает атрофию мышц;
электрофорез с анальгетиками или спазмолитиками для облегчения болевого синдрома и расслабления мускулатуры;
диадинамические токи: снижают проводимость нервных волокон, значительно увеличивают интервалы между приступами;
массаж лица, головы, шейно-воротниковой зоны: улучшает кровообращение и отток лимфы, улучшая питание тканей; должен проводиться с осторожностью, чтобы не задеть триггерные зоны и не спровоцировать приступ; курс проводится только в период ремиссии;
иглорефлексотерапия: способствует снятию болевого синдрома.
Хирургическое лечение
Помощь хирургов незаменима, когда требуется устранить сдавление нерва. При наличии показаний проводятся:
- удаление опухолей;
- смещение или удаление расширенных сосудов, давящих на нерв (микрососудистая декомпрессия);
- расширение костных каналов, в которых проходят ветви нерва.
Ряд операций направлен на снижение проводимости нервного волокна:
- воздействие гамма-ножом или кибер-ножом;
- баллонная компрессия тригеминального узла: сдавливание узла с помощью наполненного воздухом баллона, установленного в непосредственной близости от него, с последующей гибелью нервных волокон; операция часто приводит к частичной потере чувствительности и уменьшению движения мускулатуры;
- резекция тригеминального узла: проводится редко ввиду сложности и большого количества осложнений.
Как лечить дисфункцию височно-нижнечелюстного сустава (ВНЧС)
Как лечить дисфункцию височно-нижнечелюстного сустава? Прежде всего, врач должен провести комплекс диагностических действий. В ходе диагностики проводится глубокое медицинское и стоматологическое обследование, делаются панорамные рентгеновские снимки. Это позволяет определить, в каком состоянии находятся челюстные суставы и окружающие их ткани, проверить характер окклюзии. Кроме того, врач должен исключить наличие воспалительного процесса. Во многих случаях стоматолог рекомендует обратиться за дополнительной консультацией к специалисту в области челюстно-лицевой хирургии.
Сегодня нет дисфункции ВНЧС лечения. Однако врачи располагают рядом возможностей для избавления от выявленных симптомов. В большинстве случаев врач дает такие рекомендации:
- Нужно снять спазм и болевые ощущения. Помогают горячий компресс, прием миорелаксантов и безрецептурных обезболивающих препаратов. Возможно назначение противовоспалительных средств.
- Неблагоприятное последствие сильного сжимания челюстей или скрежетание зубами уменьшается при использовании особых капп, изготовленных индивидуально и наложенных на зубы верхней челюсти.
- Хороший эффект дают техники расслабления челюстных мышц. Для приобретения таких навыков существуют особые тренинги и консультации.
- В том случае, когда дисфункции ВНЧС лечение указанными методами неэффективно и выявлены патологии суставов челюсти, может быть рекомендовано оперативное вмешательство.
Почему
На самом деле, если вы понаблюдаете за собой осознанно, особенно в моменты сильного эмоционального потрясения типа злости, ярости и т.п., вы заметите, что непроизвольно стискиваете зубы поплотнее.
Можно долго спорить, является это»подарком» от наших предков и насколько сильно роднит эта черта нас с животными, но факт остается фактом — мы это делаем.
Если вы после расслабляете челюсти, то и проблем нет — кратковременное напряжение не несет проблем. Но увы, у многих это не получается.
По подсчетам Scientific American, в среднем человек способен смыкать челюсти с давлением 80 кг/см2. Физически развитый взрослый человек — до 200 кг.
Рекорд среди людей принадлежит гражданину США, который куснул силомер с давлением более 400 кг/см2! Для сравнения — питбуль сжимает челюсти лишь с давлением порядка 130 кг/см2, гризли — 250, а лев — 400 кг.
Конечно, у нас есть важные отличия: при развитии максимальных усилий жевательных мышц, у нас они устают за считанные секунды.
Представляете, какое давление испытывает наше тело при постоянном сжатии челюстей?
Не случайно художник Йоан Капоте создал помятник стрессу, который выглядит как стелла из 5 бетонных блоков, соединенных двумя рядами металлических зубов.
Верхние блоки «давят» на зубы и заставляют их сжиматься сильнее. Хуже всего приходится нижним, ведь общий вес монумента составляет 17 тонн.
Кстати, слепки для металлических моделей зубов Капоте сделал с челюстей пациентов клинике неврозов в Гаване.
Признаки и симптомы патологии височно-нижнечелюстного сустава
Дисфункция височно-нижнечелюстного сустава симптомы имеет разнообразные. Поскольку выявленные признаки зачастую свидетельствуют о патологиях, не имеющих отношения к ВНЧС, стоматологу для успешного диагностирования нужно ознакомиться с медкартой обратившегося за помощью человека, назначить комплекс исследований и анализов. Также рекомендуется сделать рентгеновские снимки. Только после этого можно определять схему лечения патологии височно-нижнечелюстного сустава. Пациенту нужно быть внимательным к своему здоровью и незамедлительно посетить специалиста, если наблюдаются дисфункции височно-нижнечелюстного сустава симптомы:
- Головные боли и в области ушей.
- Давление на глаза также может свидетельствовать о патологии височно-нижнечелюстного сустава.
- Неприятное «клацанье» или «щелканье» челюсти.
- Случается, что боль сопровождает зевание, процесс жевания пищи и даже широкое открывание рта.
- Временами челюсти словно «заклинивает», их невозможно разжать, зачастую они «выскакивают».
- Мышцы челюсти ослабевают.
- Резко меняется характер смыкания челюстей.
Анемия – малокровие
При этом заболевании в кровяном русле уменьшается количество эритроцитов – красных телец – и падает концентрация гемоглобина – вещества, приносящего тканям кислород. В результате возникает кислородное голодание, при котором ткани начинают «задыхаться» и их функции нарушаются. Это приводит к разбитости, сонливости, невозможности справиться с привычной работой.
Анемия сопровождается снижением цветного кровяного показателя и недостаточной концентрацией гемоглобина в эритроцитах. В этом случае количество красных телец может быть нормальным, но из-за малого содержания гемоглобина они не могут нормально снабжать ткани кислородом.
Повышается количество юных форм эритроцитов, которые организм вынужден «бросать в бой», чтобы устранить кислородное голодание. Снижается гематокрит – объем красных кровяных телец. Уменьшается количество белков – трансферрина, гаптоглобина, ферритина.
Снижается концентрация сывороточного железа и железосвязывающая способность сыворотки – количество железа, которое переносит кровь.
Кожа становится бледной, сухой, ногти слоятся, и на них появляется поперечная исчерченность. Волосы секутся, теряют блеск и выпадают. В уголках губ появляются трещинки – заеды. Могут возникнуть странные желания съесть мел, зубную пасту, глину и другие несъедобные вещи.
Причины анемии многочисленны:
- Недостаток железа в пище, вызванный строгими диетами.
- Инфекции и заболевания внутренних органов – печени, почек, кишечника.
- Наличие паразитов – глистов и простейших, обитающих в желудочно-кишечном тракте. Эти существа питаются кровью больного и забирают из пищи полезные компоненты. Возникает воспаление слизистой, мешающее усваивать элементы, необходимые для выработки эритроцитов и образования гемоглобина.
- Дисбактериоз кишечника – состояние, сопровождающееся гибелью полезных бактерий и разрастанием патологической флоры. Это мешает нормальному усвоению веществ, необходимых для кроветворения.
