Что показывает рентген плечевого сустава
Для точной постановки диагноза, сбора анамнеза и физикального осмотра недостаточно. Врач назначает дополнительные исследования, в зависимости от патологии.
При прохождении рентгеновских лучей через ткани разной плотности пучок рассеивается и тормозится в результате получается изображение разной интенсивности. Рентгенография считается не лучшим способом для диагностики патологий мягких тканей. Зато при заболеваниях костно-суставной системы данный метод исследования является основным. На снимках мягкие ткани более темные, а твердые – светлые.
Рентген плечевого сустава в двух проекциях (прямой и боковой снимок) показывает довольно подробную картину патологических изменений. Кроме состояния самого сочленения, с его помощью можно оценить состояние ключицы и лопатки. Благодаря прямой проекции врач определяет степень смещения переломов (если таковые есть), на боковых снимках (аксиальных) хорошо видны изменения краев вертлужной впадины.


Методика проведения
Специальной подготовки к обследованию не требуется. Перед проведением процедуры пациент должен снять металлические предметы – пуговицы, украшения, заколки – они могут негативно повлиять на качество снимка. Кроме того, эти предметы обладают высокой рентгенологической плотностью и могут создавать на снимке интенсивные тени, которые накладываются на диагностически значимые участки. Снимок выполняется на специально предназначенном столе. Положение выбирается в зависимости от проекции. Она может быть прямая, боковая и аксиальная. Половые органы и щитовидная железа прикрываются свинцовым фартуком.
Сама процедура съемки длится меньше минуты. Правильно проведенное исследование дает достаточно информации о состоянии структур, которые образуют плечевой сустав.
Показания к рентгенографии плечевого сустава
Патологии плечевого сустава встречаются не только в хирургии, но и в ортопедии и неврологии. Пациенты обращаются с различными жалобами, а врач назначает рентген при следующих симптомах:
- Острые, ноющие или стреляющие боли в области сочленения.
- Скованность в движении.
- Несимметричность области плеча.
- Отек в области ключицы и плеча.
- Гиперемия кожного покрова в месте плечевого сустава.
Кроме симптомов, имеются и другие показания к исследованию:
- При подозрении на вывих плечевого сустава рентген является первостепенным методом диагностики.
- Переломы плечевой кости, ключицы или лопатки.
- Заболевания суставов воспалительной природы (артриты).
- Патологии суставов дегенеративно-дистрофического направленности с разрушением хряща (артрозы).
- Подозрения на возникновение различных новообразований.
- Контроль врожденных структурных или функциональных аномалий сустава.
У многих патологий плечевого сочленения схожая симптоматика и особенности течения. Болезни необходимо дифференцировать, рентген позволяет делать это быстро и максимально точно.
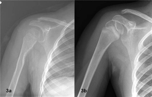
Признаки травм плеча на снимках
Всевозможные травмы, происходящие с верхними конечностями, в частности, в области плечевого сустава, встречаются очень часто. Человек может неудачно упасть, получить удар или вывернуть руку. В результате ломаются костные образования, рвется суставная капсула, повреждаются мышцы и связки, головка плечевой кости выходит из впадины на лопатке частично или полностью. Все анатомические нарушения четко фиксируются на рентгенограммах плеча, выполненных в разных плоскостях.
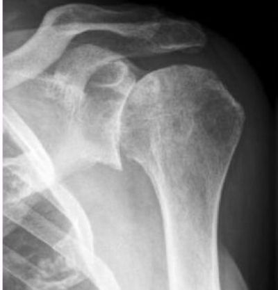
При артрозе на снимках определяется отсутствие суставной щели и хрящевого слоя, значительное уплотнение мягких тканей
Так, при переломах, обычно происходящих с ключицей или плечевой костью, видна линия нарушения целостности костных формирований (также она визуализируется при наличии трещин). Она может быть единственной, когда перелом не осложненный. Но при наличии осколков таких линий бывает несколько. Также на снимках определяется и степень повреждения осколками мягких тканей. При вывихах, когда головка плечевой кости «выворачивается» из суставной впадины, это также четко фиксируется на рентгенограммах.
Изучив несколько проекций плеча, можно определить, в какой точке произошел разрыв капсулы сустава, поврежден ли суставной хрящ. Также легко можно «увидеть» наличие обширных гематом (кровоизлияний), разрывы связок и мышц.
Противопоказания
Несмотря на высокую информативность, доступность и легкость в проведении, в ряде ситуаций необходимо отказаться от рентгенографии и диагностировать заболевания другими методами. Причина тому — наличие противопоказаний к процедуре.Плечевой сустав рентгеном не просвечивают, если у пациента имеются следующие патологические состояния:
- Беременность, особенно первый триместр.
- Крайне тяжелое общее состояние.
- Открытый пневмоторакс.
- Сильное кровотечение.
- Тяжелые патологии печени или почек.
- Декомпенсированный сахарный диабет.
- Туберкулез легких в открытой форме.
В современных рентген аппаратах ионизирующее излучение минимальное. Только врач может оценить возможные риски и целесообразность проведения процедуры.
Альтернативы рентгену
Существуют несколько альтернативных методов рентгенологического обследования, каждый из которых не уступит в информативности полученных результатов.
Справка. Альтернативные методики могут применяться при наличии противопоказаний к рентгену либо из-за малоинформативности данного обследования в конкретном случае.
Рентген возможно заменить следующими диагностическими методиками:
- УЗИ —, безопасный, доступный и информативный метод обследования, позволяющий дополнительно исследовать состояние хряща, синовиальной оболочки, выявить воспалительные поражения, определить наличие экссудата и его состав (кровь, гной, лимфа), что недоступно рентгену.
- КТ —, информативная методика, позволяющая с высокой точностью определить состояния костных структур и патологические изменения.
- МРТ —, позволяет визуализировать околосуставные мягкие ткани, связки, сухожилия, хрящевые поверхности.
Какое обследование проводить целесообразнее в каждом конкретном случае решает специалист на основании жалоб, осмотра и индивидуальных особенностей организма пациента.
https://youtu.be/CoiJ3G_iztY
Как проводится рентгенография плечевого сустава
Одним из преимуществ рентгенографии является отсутствие необходимости специальной подготовки. Пройти исследование можно сразу после приема врача, взяв у него направление. Рентген плечевого сустава проходит так:
- Сотовые телефоны и другие излучающие гаджеты оставляют за пределами кабинета, в котором проводится диагностика.
- Снимают верхнюю одежду и металлические украшения. Руку и плечо оголяют полностью.
- Ложатся на специальный стол и занимают позу, оптимальную для рентгеновской съемки.
- Грудную клетку область живота и малого таза укрывают свинцовой накидкой.
- Врач подводит излучатель к плечу и уходит в соседний кабинет для осуществления съемки. В момент ее проведения тело должно быть неподвижно.
- После процедуры пациент одевается и ожидает снимок с пояснениями врача-рентгенолога в коридоре.
Еще одним преимуществом рентгенографии является то, что снимок можно использовать для консультации в другом медучреждении или другим специалистом. Запись о проведении процедуры ставится в специальной книге учета, ее можно запросить в любое время.
Нормальная анатомия сустава плеча
Плечевым суставом называют подвижное сочленение между лопаткой и плечевой костью. В более широком смысле плечо также включает в себя плечевой пояс, который помимо сустава также содержит сустав между лопаткой и ключицей, грудью и ключицей, а также мышцы вокруг лопатки и плеча. Все это важно для функции плеча в целом.
Анатомически говоря, плечо состоит из двух костей: лопатки и плечевой кости. Плечо по строению похоже на другие суставы, но впадина и суставное тело не прижаты друг к другу, а свободно скользят друг мимо друга. Это обеспечивает большую свободу движения руки, которая, вероятно, является результатом эволюции верхней конечности человека. Подвижность также увеличивает риск дислокаций, которые могут вызывать сильную боль.
Важная мышца плечевого сустава – дельтовидная, которая не только защищает, но и помогает в осуществлении движений рукой.
Вред рентгена и меры предосторожности
Лучевая энергия, проходя через обследуемый орган больного, перенаправляется на приемник, трансформируясь в изображение на фотопленке. К сожалению, некоторое ее количество «оседает» в теле пациента, в той или иной степени способствуя изменениям на клеточном и тканевом уровнях.
Ионизирующее излучение может стать причиной лучевых ожогов, появления злокачественных новообразований, лучевой болезни.
Конечно, сделать рентген плечевого сустава абсолютно безопасным невозможно, но меры защиты позволяют снизить степень вреда излучения. Существует ряд способов обезопаситься от вредного ионизирующего излучения:
- Ведение специального листа учета, в который вносятся данные о частоте проведения процедур. Учет позволяет контролировать дозы лучевой нагрузки.
- Соблюдение всех мер предосторожности и рекомендаций пациентом. При рентгене плечевого сочленения на больного надевают специальный свинцовый фартук, оставляя открытой только область исследования.
- Разработки и применение нового более безопасного оборудования.
- Полная неподвижность в момент проведения съемки. Если пациент не может сидеть неподвижно, то снимок может получиться нечетким, возникнет необходимость в повторном проведении рентгенографии, что, в свою очередь, увеличивает дозу излучения.
Противопоказания к диагностике
Несмотря на то, что рентгенография — один из самых древних и наиболее часто применяемых методов диагностики, существует ряд противопоказаний к ее проведению.
Нельзя назначать рентген сустава:
- Беременным женщинам. В случае если рентгендиагностика все же необходима, важно тщательно закрыть живот просвинцованным фартуков и выполнить процедуру на современном аппарате, обладающем минимальной лучевой нагрузкой на организм.
- Детям до трех месяцев. При необходимости обследовать грудничка, следует применять другие методы, при которых нет воздействия ионизирующего излучения на организм (УЗИ, МРТ).
- При прохождении в тот же день других рентгенологических исследований — маммографии, флюорографии.
- При наличии инородных металлических тел в области сустава, поскольку в некоторых случаях они могут исказить картину заболевания.
Важно знать, что современное оборудование практически не оказывает негативного влияния при однократном облучении. Эффективная доза при обследовании плеча составляет 0,001 мЗт, что эквивалентно облучению, получаемому современным человеком за сутки. Подробнее об этом можно узнать, просмотрев данное видео.
https://youtu.be/n_4mtM2PiZY
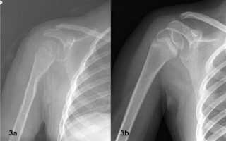
Значение рентгена при патологиях плечевого сустава
В медицине рентген используется давно. Исследование применяется для диагностики заболеваний ЖКТ, инфекционных и опухолевых заболеваний грудной клетки, зубов, женских репродуктивных органов.
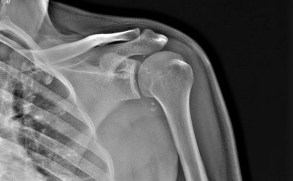
Особо важна диагностика при выявлении патологических изменений различных отделов периферического скелета. С помощью рентгена плечевого сустава (фото представлено выше) выявляют переломы, вывихи, заболевания инфекционной и опухолевой природы. Все структуры сочленения, соседние мягкие ткани из-за различной плотности хорошо визуализируются, вплоть до малейших подробностей. Исследование относится к специфическим, на снимке четко видно какая именно патология возникла у человека.
Рентгенограмма – это плоское изображение трехмерного органа. Поэтому при диагностике следует делать снимки минимум в двух поверхностях. Путем накладывания снимков можно установить локализацию патологического очага. Самостоятельно это сделать практически невозможно.
Что может выявить рентгенография
Принято считать, что рентгеновское исследование оказывает более вредное воздействие на организм, чем ультразвуковая диагностика. Это действительно так. В ряде случаев врачи назначают УЗИ с профилактической целью — для оценки размеров, формы и функционирования определенных органов, для выявления ранних стадий некоторых заболеваний, а также для получения картины состояния здоровья беременной женщины и растущего в ее утробе малыша.
Рентгенография не может часто применяться даже для того, чтобы наблюдать за развитием тяжелых патологий. Беременным женщинам она и вовсе противопоказана, так как может нанести непоправимый вред плоду. Медицинские специалисты не рекомендуют пациентам выполнять в профилактических целях рентгеновский снимок колена, направление на такое исследование вправе дать только врач. Связано это с тем, что суставная ткань во время анализа получает суточную дозу излучения. Она и может негативно отразиться на нормальном функционировании конечностей.
Необходимо безотлагательно пройти диагностику при помощи рентгеновских лучей, если в области коленного сустава появились:
- боли;
- припухлость:
- отечность:
- покраснение;
- повышенная температура,
- суставные деформации;
- признаки смещения костей.
Рентгенография коленного сустава способна выявить наличие жидкости в суставных тканях, она также качественно диагностирует состояние хрящей. Необходимо знать: если на снимке между костями (там, где должны находиться суставы) не видно ничего, это означает, что суставные ткани находятся в норме и в них нет никаких патологических изменений и опасных для здоровья деструктивных процессов; когда же в области коленного сустава есть отеки или жидкость, они станут видны на снимке, сделанном посредством рентгенографии коленного сустава. Но точно определить плотность кости с применением такой диагностики не удастся, однако рентген покажет форму, строение костей и поможет определить прогрессирующие в них патологии. Рентгенография коленного участка способна найти и нарушения костной ткани.
Если костная ткань на том или ином участке организма начала разрушаться и утончаться, рентген обнаружит это отклонение, поэтому данный метод исследования применяют как один из эффективных способов выявления остеопороза.
Расшифровка результатов
В отличие от УЗИ-снимков, рентгеновские не являются оператор-зависимыми. Расшифровать их может только специалист.
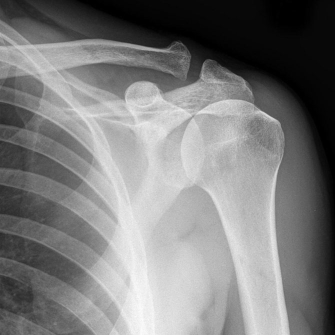
Чтобы понять, какие именно отклонения выявились на снимке, нужно знать, как выглядит снимок после проведения рентгена плечевого сустава в норме. Врач различает потемнения, видит наличие просветов в структуре костной ткани, определяет ее изменения, а также безошибочно находит очаг заболевания. Нормы показателей:
- Контуры костей четкие, ровные. Костная структура не изменена.
- Полное соответствие формы соприкасающихся суставных поверхностей.
- Суставные щели хорошо прослеживаются, не сужены.
- Контуры смежных поверхностей с обеих сторон четкие, ровные. Костных разрастаний не отмечается.
- Костно-дистрофических изменений, а также дистрофических или травматических не выявлено.
- Мягкие ткани не изменены.
При просмотре снимка врач может задать несколько вопросов, которые помогут разобраться в причинах возникновения аномалий и правильно назначить лечение:
- Врач может попросить дать описание обстоятельств и давности травм.
- Поинтересоваться, не наблюдаются ли изменения в симптоматике, и если да, то какие.
- Доктор может провести тест на нарушение чувствительности.
Результаты
Расшифровкой результатов обследования занимается врач-рентгенолог. Разные ткани человеческого организма отличаются по плотности и на полученном снимке отображаются различными цветами. Пленка представлена в негативе, поэтому затемнением специалисты называют более светлые участки, а просветлением — темные образования. В норме снимок должен содержать все структуры.
Рассматривая пленку, врач оценивает состояние костных структур, суставной щели, хрящи, очертания кортикального слоя и мягкие ткани, окружающие сустав.
С помощью исследования можно обнаружить и дифференцировать следующие патологии:
- вывихи и подвывихи;
- трещины плечевой кости, лопатки, ключицы;
- переломы (со смещением и без);
- остеопороз;
- плечевой артрит;
- новообразования.
При многих травмах наблюдается рентгенонегативный период, при котором поражение на начальной стадии локализуется только в мягких тканях и не обнаруживается на обычном рентгеновском снимке.
Наиболее распространенные патологии плечевого сустава
Все патологические изменения фиксируются врачом в заключении. Снимки являются основой для постановки диагноза. Просвечивая плечевой сустав на рентгене, выявляют следующие патологии:
- Передний вывих плеча – наиболее распространенное структурное нарушение, встречается в 98 % случаев.
- Задние вывихи диагностируются редко
- Вывих с переломом шейки плечевой кости.
- Застарелый вывих. Такие патологии тяжело поддаются терапии. на мягких тканях образуются рубцы, меняется тонус мышц, развивается дегенеративный процесс мышечной ткани.
- Травмы ротаторной манжетки.
- Артрозы.
- Артриты.
- Остеофиты, характеризующиеся уплотнением капсулы и образованием в ней кальцинатов (отложение солей кальция).
- Остеопороз чаще диагностируется у людей пожилого возраста.
Показания и противопоказания
При диагностике проблемы с плечевым суставом часто достаточно просто расспросить пациента, осмотреть его. В более тяжелых случаях, когда просматривается стойкое нарушение функциональности сустава, проводится рентгенографическое исследование. Снимок делается в прямой проекции. С помощью рентгена оцениваются размеры, форма сустава. Данная проверка помогает диагностировать артрит в плече, обыкновенный вывих.
Современный подвижный, динамичный образ жизни приводит к разным суставным проблемам. Показаниями к рентгенологической диагностике служат различные факторы. При болях, дискомфортном ощущении можно пойти в клинику за рентгенографией. Необходим рентгеновский снимок при чувстве боли после травмирования, при воспалении, острых и хронических болях, ограниченном движении, припухлости, увеличении массы в плечевом отделе, если есть подозрение на вывих.
Также рентген показан в случаях ощущения боли после тяжелой работы, спортивных упражнений, повреждения каким-либо образом плеча. Любая из проблем с плечом требует обращения к специалистам, которые при необходимости могут отправить на рентгенографию, помогут при лечении в случае серьезной проблемы.
Относительным противопоказанием является возраст до 15 лет, абсолютными — беременность, кормление грудью. Избыточный вес также может служить противодействующим фактором. Рентген является исследованием, в процессе которого человек получает небольшую дозу облучения. Это служит причиной ограничения проведения данной процедуры. Делают рентген не более двух раз за год, в противном случае облучение организма может быть слишком сильным и ценность результата процедуры будет ниже его опасности для здоровья.
Где сделать рентген плечевого сустава
Исследование входит в список бесплатных процедур. Ее проведут при предоставлении паспорта, полиса ОМС и направления (если таковое имеется). Стационарные рентген-кабинеты есть в любой районной поликлинике.
Частные коммерческие медучреждения нечасто предоставляют подобную услугу, исключение — специализированные центры. Это связано с обязательным учетом ионизирующего облучения пациентом. Но если учитывать, что исследование требуется проводить как можно реже, то вполне можно обойтись количеством стационарных кабинетов.
Кому нельзя делать рентген
Так как рентгеновские лучи представляют собой опасность для благополучного развития плода, женщинам в период вынашивания ребенка делать рентген не рекомендуется. При крайней необходимости проведения диагностики подобным методом область живота накрывают защитным фартуком. Также им обязательно следует воспользоваться и в остальных случаях проведения рентгенографии.
К противопоказаниям относят и детский возраст. Не рекомендуют без необходимости делать рентген детям, которые не достигли 14 лет. Для того чтобы снизить риск облучения, детям закрывают защитным фартуком район таза, живот, грудную клетку и область щитовидки, а также органы зрения. Если речь идет о новорожденном, то открытой оставляют только ту часть тела ребенка, которую нужно обследовать.
Локтевой сустав человека ежедневно подвергается нагрузкам и внешним воздействиям. Физическое напряжение, незаметные на первый взгляд привычки, такие как неправильное расположение рук при работе за компьютером или во время управления автотранспортом, могут привести к болезням, для диагностики которых необходим рентгенография.
Как проходит обследование?
Для рентгена лопатки могут использоваться различные укладки пациента, что позволяет получать снимки кости в нескольких проекциях.
Для получения прямой проекции пациента укладывают на спину. Здоровая сторона туловища слегка приподнимается, это нужно для того, чтобы прижать исследуемую лопатку плотно к столу. Во время съёмки пациент должен сохранять абсолютную неподвижность.
Чтобы получить снимок лопатки в боковой проекции, пациента укладывают на обследуемый бок и фиксируют его в таком положении при помощи специальных валиков.
Если необходимая для снимка поза причиняет нетерпимую боль, съёмку могут осуществлять стоя.
Противопоказания рентгенографии
При обследовании плечевой кости рентгеновским аппаратом человек получает минимальное количество лучевой нагрузки, поэтому процедура относительно безопасная. Не рекомендовано проводить исследование беременным женщинам, молодым мамам в период кормления грудью, детям. Если у беременной или у ребенка возник перелом, то рентген делается только тогда, когда предполагаемый вред от неправильно поставленного диагноза будет превышать вероятность развития побочных эффектов. При серьезных травмах рентгенография обязательна, потому что, не сделав снимок, плечевая кость может неправильно срастись и беспокоить пациента на протяжении всей жизни.
Если у человека есть противопоказания к проведению рентгенографии, то могут быть сделаны:
- ультразвуковое исследование (помогает оценить мягкие ткани, связки, состояние суставов);
- компьютерная томография (в результате исследования получаются 3D-снимки костной ткани, которые можно увеличивать в несколько раз, чтобы более детально рассмотреть поврежденные участки);
- магнитно-резонансная томография (диагностика, с помощью которой можно оценить мягкие ткани, сухожилия, связки).
Магнитно-резонансная томография считается менее информативной среди методов обследования костных тканей. Рентген плечевой кости – быстрый способ определить состояние здоровья указанной области у пациента и принять нужные меры, дабы вылечить человека в кратчайшие сроки.










