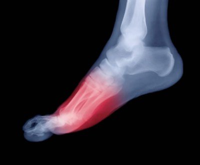
Подошвенный фасциит
Плантарный, или подошвенный фасциит – это заболевание, на которое долго не обращают внимания, списывая боли в стопе на усталость. Однако со временем симптомы становятся все более выраженными, и боль не проходит даже после отдыха.
При фасциите воспаляется подошвенная фасция, которая соединяет пяточную кость с фалангами пальцев ног. Воспалительный процесс развивается из-за постоянного натяжения связок, в результате чего в фасции происходят микроразрывы, а пяточная кость повреждается. Разрывы постепенно увеличиваются, окружающие ткани отекают, и возникает боль в ступне.
Чаще всего подошвенным фасциитом страдают женщины, спортсмены и пожилые люди, но и те, кто не входит в эти категории, не застрахованы от такого состояния. Провокатором может стать избыточный вес, неудобная обувь, деформации стоп, наследственность и высокие физические нагрузки.
Подошвенный фасциит охватывает, как правило, обе конечности, но возможно и одностороннее поражение. Наиболее частым осложнением является пяточная шпора – костный нарост на пяточной кости, состоящий из солей кальция. Для лечения плантарного фасциита используются нестероидные противовоспалительные препараты, массаж, лечебная гимнастика. Обязательным условием является ношение ортопедической обуви либо специальных вкладышей – стелек и супинаторов.


Способы лечения
- Иммобилизация конечности (применяется практически всегда, вне зависимости от причины).
- Прием обезболивающих и кальцийсодержащих препаратов.
- Компрессы.
- Ванночки.
- Физиотерапия.
- Лечебная физкультура.
- Нанесение мазей.
- Хирургическое вмешательство.
Чаще всего боль в стопе можно вылечить при помощи консервативного лечения, которое представляет собой иммобилизацию, прием сосудоукрепляющих средств, обезболивающих препаратов, нанесение мазей. В случаях тяжелой степени пяточной шпоры, вальгусной деформации, тарзальной коалиции и проблем с сосудами, когда возникает боль с внутренней стороны стопы или с внешней, врачи прибегают к хирургическому вмешательству.
Этиология появления боли
Если болит стопа посередине с внутренней стороны только под воздействием определенной нагрузки или компрессии, отек обычно не появляется, также отсутствует гипертермия, покраснение. Внутренняя часть стопы может болеть на фоне болезней суставного либо костного аппарата. Зачастую это признак острого дефицита кальция либо симптом остеопороза.
Интенсивно выраженная боль в стопе на внутренней ее части появляется при длительном нахождении в вертикальном положении, при чрезмерной нагрузке – долгие ходьба или бег, после резкого набора массы тела, это может означать травмы в связочном аппарате. При этом боль в стопе разлитая, нет конкретного очага.
Иными причинами появления боли на внешней стороне стопы могут стать:
- ношение тесной и неудобной обуви;
- ношение туфель или сапог на слишком высоких каблуках;
- травмы или повреждения;
- воспаления в связках или сухожилиях;
- воспалительные реакции в суставном аппарате;
- варикозное расширение вен;
- заболевания неврологического характера.
Почему появляется боль?
Существует огромный перечень различных заболеваний, травм и других причин, которые вызывают боли в стопе сбоку с внешней стороны. В их число входит усталость стопы после длительных или чрезмерных нагрузок. К примеру, нередко подобная боль беспокоит людей со стоячей работой или спортсменов, а также грузчиков. При этом зачастую неприятные ощущения бывают тянущего или ноющего характера и усиливаются к вечеру. Более опасными источниками дискомфорта становятся различные травмы. Это сильные ушибы, растяжения, надколы кости и переломы. Их значительно проще опознать благодаря выраженным симптомам – в частности, острой боли, характеризующейся колющими и режущими ощущениями в поврежденном участке. Если травмирование незначительное, то дискомфорт возникает только при ходьбе или стоянии. Более серьезные повреждения могут полностью исключить возможность самостоятельного перемещения. Различные физиологические нарушения, вроде артрозов и артритов, – наиболее неприятный источник боли.
Мнение эксперта
Астафьев Игорь Валентинович
Врач-невролог — городская покровская больница. Образование: Волгоградский государственный медицинский университет, Волгоград. Кабардино-Балкарский государственный университет им. Х.М. Бербекова, Нальчик.
В отличие от предыдущих причин, подобные нарушения очень тяжело поддаются лечению, а связанный с ними дискомфорт трудно купировать лекарственными препаратами.
Тендинит
Воспаление сухожилий с вовлечением в процесс подошвенных мышц и задней большеберцовой мышцы, которая соединяет большую и малую берцовую кости, называют тендинитом стопы.
Симптомы могут быть разной степени интенсивности – от практически незаметного дискомфорта до резкой болезненности.
При тендините болят стопы при ходьбе, опоре на пятку и сгибании в голеностопном суставе. В состоянии покоя боль стихает. Постепенно болевой синдром приобретает постоянный характер, возникает отечность и покраснение в пораженной области, может повышаться температура тела.
Ношение неудобной обуви усугубляет ситуацию, а при отсутствии своевременного лечения болезнь переходит в хроническую форму.
Наиболее информативным методом диагностики тендинита является ультразвуковое исследование, позволяющее увидеть состояние мягких тканей и сухожилий, оценить степень повреждения.
Лечение начинается с иммобилизации больной конечности с помощью тугой повязки либо лангеты
Для облегчения состояния пациента назначаются противовоспалительные и обезболивающие лекарства, средства местного применения и компрессы. В случае инфекционной природы заболевания необходимы антибиотики.
После купирования острых симптомов проводится физиотерапевтическое лечение, массаж и курс лечебных упражнений.
А что делать, если консервативные методы не дают результата, и боль в ноге не проходит? В этом случае проводят хирургическое вмешательство, которое заключается в иссечении апоневроза и пораженных структур.
Необходимые меры профилактики
Чтобы недуг не смог поразить человека, надо выполнять следующие рекомендации профилактического характера:
- Нельзя носить тесную, неудобную обувь.
- При занятиях спортом, быстром передвижении, простой ходьбе нужно по возможности стараться не получать травмы, ушибы, растяжения.
- Нельзя сильно физически перегружаться. Опасны и перенапряжения.
- Надо стараться избегать различные инфекционные поражения.
- Врачи рекомендуют проводить полное обследование организма раз в год.
- Желательно перейти на здоровый образ жизни.
- При первых болях в подошвах надо срочно обратиться за медицинской помощью.
При заболеваниях на ступнях, как на внутренней, так и на внешней их части, боли локализуются на достаточно широкой площади. При этом необязательно наличие каких-либо патологий. Для этого достаточно обычных физиологических факторов, например, ношение тесных туфель на высоком каблуке или чрезмерные нагрузки при занятиях спортом. Для устранения таких болей следует сменить обувь или хорошо отдохнуть. Но если болезнь наступила по неизвестной причине, надо пройти обследование, а затем и назначенный курс терапии, иначе возможны различные осложнения.
Боль с внешней стороны стопы появляется довольно часто: способствует этому как физиология, так и тот факт, что на стопы приходится основная нагрузка. Многие связывают болезненные ощущения со статичными или динамичными напряжениями, но это правдиво только отчасти, так как есть травмы, воспаления, хронические болезни и ряд других причин, сигнализирующих о своем наличии болью в стопе. Любой дискомфорт указывает на отклонения в нормальном функционировании органа и должен быть изучен должным образом.
Прежде всего, изучите возможные причины, сравните симптомы и при необходимости посетите врача для получения профессиональной консультации и должного обследования.
Важность удобной обуви
Если болит внутренняя сторона стопы именно по этой причине, дополнительного лечения такой симптом не требует. Но нужно помнить, что при длительном хождении в таких изделиях, даже после привыкания ноги и прекращения боли, продолжается начавшаяся деформация стопы. А это чревато необратимыми дегенеративными изменениями в костном аппарате, со временем начинает появляться выпирающая косточка сбоку с внешней стороны ступни.
По истечении определенного промежутка времени, болезненные ощущения в области стопы начинают появляться снова, но такие проявления уже будут свидетельствовать о серьезных дисфункциях в суставном и связочном аппарате. Заболевание будет развиваться не только в стопах, а затронет и позвоночный столб.
Чем опасны боли после бега?
Если своевременно не начать лечение, могут возникнуть последствия, такие как:
Несвоевременное лечение может стать причиной варикозного расширения вен.
- Варикозное расширение вен. Патология развивается вследствие нарушения работы венозных клапанов и провоцирует образование тромбов.
- Сколиоз. При неправильной нагрузке на стопы происходит искривление позвоночника, что влечет смещение внутренних органов.
- Бурсит. Характеризуется воспалением слизистых оболочек суставных сумок.
Вернуться к оглавлению
Артрит и артроз
Несмотря на похожие названия, эти два заболевания принципиально отличаются. В медицинской терминологии суффикс «ит» означает воспаление, а «оз» говорит о разрушении, деструкции.
Воспалительный процесс в суставе при артрите в 70% случаев вызван инфицированием суставных тканей, второй по распространенности причиной являются различные деформации стоп. Поскольку один из факторов риска – повышенная физическая нагрузка, чаще всего артритом болеют спортсмены. Лишний вес и нарушение обменных процессов также могут негативно повлиять на состояние суставов.
Как правило, артрит бывает двусторонним, но может поражаться и только одна нога – левая либо правая. На ранних стадиях болезни человек чувствует лишь небольшой дискомфорт после бега или быстрой ходьбы, но со временем ситуация меняется в худшую сторону – появляются ночные боли и скованность в суставе.
Клиническая картина пяточного артроза напоминает проявления пяточной шпоры – боль возникает в подошве, ближе к пятке, ограничивается подвижность голеностопа, кожа над суставом становится горячей. По мере развития болезни появляются наросты на пяточной кости (остеофиты), при движениях слышится хруст из-за кальциевых отложений, сустав реагирует болью на изменение погодных условий.
Также можете прочитать: Лечение бурсита большого пальца стопы
Отличительным признаком артроза является стихание боли в периоды покоя. Во время ходьбы человек старается не наступать на пятку, перенося часть нагрузки на передний отдел и область пальцев. Этим объясняется то, что болит внешняя сторона стопы, которая берет на себя функции поврежденного участка. Комплексное лечение артроза включает прием медикаментозных средств, физиотерапию, тонизирующий массаж конечностей и лечебную гимнастику.
Артроз
Клиническая симптоматика артроза сильно напоминает пяточную шпору, при которой боль появляется в подошве, сбоку (ближе к пятке), ограничивая двигательную активность голеностопного сустава. По мере усиления симптоматики возможно образование остеофитов, хруст при движении и метеочувствительность.
Деформирующий артроз стопы
Характерным признаком артроза является затихание болей в спокойном состоянии. Пациент принимает щадящую позу, стараясь не наступить на пятку, и переносит основную нагрузку на пальцы. Эта особенность объясняет тот факт, что болит именно внешняя сторона стопы. Комплексная терапия предусматривает применение медикаментозных препаратов, массаж, ЛФК и т.д. При 4 и 3 стадии артроза выполняются внутрисуставные инъекции, а при необходимости проводится оперативное вмешательство.
Травма — как причина
Причинами того, чтобы болит стопа сбоку, могут стать определенные травмы – растяжение либо перелом. Их разделяют на такие виды:
- Растяжение. Повреждаются связки в лодыжке, это провоцирует появление интенсивно выраженных и внезапных болевых ощущений на внутренней части ступни. Чаще всего происходит подворачивание свода стопы внутрь, так смещаются лодыжки, растягиваются связки.
- Ползущий перелом костного аппарата происходит вследствие систематических множественных микротравм, которые периодически повторяются (к примеру, у спортсменов). Локализация боли при этом – на стопе внутри. Если происходит перелом плюсничной кости, появляется боль на внешней стороне ступни, а также наружный ее участок. На начальных этапах болит нога в тыльной части стопы не сильно интенсивно, она тянущая, ноющая. Такие микротравмы не визуализируются при рентгенографии и встречаются преимущественно у людей, занимающихся профессиональными видами спорта.
- Иногда возникает такой вид травмы, как синдром кубовидной кости. Заключается он в вывихе боковой поверхности ступни, встречается чаще всего у спортсменов, танцоров, велосипедистов.
Если болит ступня сбоку вследствие произошедшей травмы, терапевтические мероприятия заключаются в фиксации больной конечности, если происходит растяжение, накладывается тугой жгут из эластичного бинта, если случается перелом — гипсовую повязку. Помимо этого назначается также медикаментозное лечение с помощью местных препаратов – мазей, кремов, задачей которых является обезболивание, нейтрализация воспалительного процесса, ускорение регенерации. Иногда при сильных травмах прибегают к хирургическому лечению.
Методы лечения растущей на большом пальце косточки
Если пациент обратится на начальных этапах развития смещения костей стопы, можно приостановить заболевание ортопедическими средствами и снять воспаление консервативными методами лечения.
Ортопедические средства:
- Отводящий бандаж, накладываемый на ночь, фиксирующий палец в физиологическом положении.
- Перегородки между пальцами, предотвращающие деформацию стоп и облегчающие хождение.
- Специальные прокладки с функцией защиты плюсневой кости от давления и корректирующие положение большого пальца.
- Ортопедические стельки с функцией распределения нагрузки на стопу, убирающие излишнее напряжение с суставов.
Статья по теме: Фиксатор для большого пальца ноги при появлении косточки.
Ортопедические приспособления рекомендованы на начальных стадиях роста косточки, изготавливать их желательно индивидуально, по назначению врача-ортопеда.
Массаж
На начальных этапах развития деформации стопы и при переходе острой стадии в хроническую рекомендуется делать массаж стоп – для снятия воспаления, устранения мышечного спазма, стимуляции кровотока в стопе и восстановлении подвижности суставов. Массаж назначается, как дополнительное к ортопедии средство лечения. Выполняется он точечным методом, воздействуя на активные точки стопы. Регламент массажных сеансов обычно составляет 20 минут ежедневно, курс — 10 дней с трехнедельным перерывом и дальнейшим повтором.
Обувь
В начале болезни рекомендуется перейти на ношение обуви из натуральных материалов с круглым носом, каблуком не выше 4 см, супинатором и плотной подошвой. Обувь носится с ортопедическими стельками.
Рацион
При проблемах с костями и суставами пациенту изменяют рацион: из меню устраняются жареные и копченые блюда, сладкое, бобовые, жирное – они способствуют развитию воспалительных явлений в суставном аппарате. В рационе должны быть продукты с высоким содержанием витаминов А, Е, С.
Лечебная гимнастика
Также эффективный метод при начальных проявлениях болезни. Упражнения гимнастики для стоп при регулярном выполнении возвращают подвижность суставам, снимают спазмы мышц, укрепляют свод стопы.
Рекомендуется делать следующее:
- Поднимать с пола лист бумаги и небольшие предметы пальцами ног и класть их в руку.
- Разводить пальцы ног так, чтобы они не прикасались друг к другу в течение минуты, сгибать пальцы и разгибать.
- Напрягать свод стопы с удержанием его в таком состоянии около 40 минут.
- Рисовать карандашом буквы или цифры, удерживая его в пальцах ног.
- Перекатывать бутылку с водой или скалку стопой в течение двух минут.
- Расправлять пальцами ног скомканную на полу ткань.
- Ходить босиком и на носочках.
При всей простоте гимнастики ее регулярное выполнение один раз в день дает хорошие результаты.
На запущенных стадиях болезни косточку возле большого пальца лечить приходится с помощью следующих методов:
- Курс нестероидных противовоспалительных препаратов, снимающих боль, воспаление, отек мягких тканей. Как правило, это препараты на основе индометацина и диклофенака, назначаются они в виде инъекций и таблеток, а также локально в виде мазей (Диклофенак-гель или мазь, Индометациновая мазь).
- Физиотерапия, в частности, ударно-волновая терапия, разрушающая костно-хрящевой нарост и способствующая восстановлению тканей и функций сустава. При очень выраженных болях на область растущей косточки воздействуют рентгенотерапией, применяют также фонофорез и электрофорез.
- Лечебная физкультура со специально разработанными упражнениями для укрепления мышц стопы и возвращения суставам подвижности.
В случае неэффективности консервативного лечения и при наличии интенсивных болевых явлений нарост устраняют хирургическим путем.
Операция
Методик удаления косточки возле большого пальца существует достаточно много, выбираются они в зависимости от показаний. Чаще всего применяется остеотомия, заключающаяся в укорочении плюсневой кости и восстановлении большого пальца в его обычное положение. Может быть закрытой, когда манипуляции с костью проводятся через небольшой прокол и не оставляют в дальнейшем рубцов, и открытой – с разрезом кожи и мягких тканей.
Реабилитация после хирургической операции длится примерно три месяца, когда пациент должен носить специальную обувь, после чего перейти на ортопедические модели.
Народные средства
Лечение косточки народными средствами применяется для стихания боли и воспаления.. Причину роста они не убирают, поэтому могут рекомендоваться как временные способы облегчения состояния:
- Настойка из йода и цветов одуванчика: 100 г слегка просушенных цветков заливается йодом, настаивается 5 дней в темноте. Наносить настойку на больное место нужно, предварительно распарив ноги, ежедневно, курс — две недели.
- Ванночка для ног из морской соли и йода: на 1 литр теплой воды кладется 2 столовых ложки морской соли и добавляется 10 капель 5% йодной настойки. Держать ноги в ванночке нужно 15 минут, всего 30 дней. После нее на стопы можно нанести йодную сеточку.
- Компресс из капусты и меда: на распаренные в теплой ванночке ноги наносится мед – в область выросшей косточки. Кладется размягченный капустный лист, компресс фиксируется бинтом и оставляется на ночь. Утром ноги ополоснуть теплой водой. Повторять компресс примерно месяц.
После избавления от косточки на стопах пациентам рекомендуется также продолжать носить соответствующую обувь с ортопедическими стельками, придерживаться диеты, повторять курс гимнастики.
Синдром кубовидной кости
Кубовидная кость предплюсны, расположенная в середине ступни, может травмироваться как в результате прямого удара, так и при сдавливании близлежащими костями – плюсны и пяточной. Предназначением кубовидной кости является формирование и поддержка свода стопы и обеспечение правильной работы сухожилий.
Причиной болевого синдрома может быть:
- перелом, раздавливание кубовидной кости;
- вывих кости в результате сильного выгибания в своде стопы – такое повреждение можно получить при игре в футбол, быстром беге или езде на велосипеде;
- стрессовый, или усталостный перелом. Чаще фиксируется у начинающих спортсменов, которые занимаются на пределе возможностей и делают слишком короткие перерывы на отдых.
Диагностика переломов кубовидной кости несколько затрудняется тем, что симптомы возникают не сразу. Сначала дискомфорт и легкая болезненность в подъеме стопы и возле пятки не слишком беспокоит, но вскоре боль нарастает, усиливаясь к концу дня и после тренировок. На рентгене перелом не всегда различим, поэтому чаще назначается проведение МРТ или КТ.
Терапевтические мероприятия начинаются с наложения тугой повязки или гипсовой лангеты для ограничения подвижности стопы. Снять боль и воспаление помогают такие препараты, как Диклофенак, Ибупрофен и др. Для ускорения восстановления костной ткани назначают витаминные комплексы с кальцием.
Первая помощь: как снять боль?
Независимо от источника и природы боли, прежде всего, стоит ограничить подвижность стопы. Далее, если есть возможность, больного следует доставить в ближайший травмпункт. В противном случае следует вызвать скорую помощь. До приезда скорой старайтесь не принимать никаких медикаментов. В крайнем случае можно купировать боль, если нет возможности дождаться приезда кареты скорой помощи. Незначительные повреждения, вроде легких растяжений или боли, появившейся без видимых причин, можно обезболить доступными таблетками Нурофена, Кетанова или Диклофенака. Тяжелые случаи с переломами или разрывами связок можно купировать внутримышечным уколом ампулы Кетанова, в крайних случаях помогает смесь ампулы Дексалгина и ампулы Диклоберла. Оба лекарства набираются в один шприц и вводятся внутримышечно.
Подобное сочетание препаратов эффективно избавляет от боли, связанной с повреждениями костей, но очень негативно влияет на печень и другие органы.
Растяжения (разрывы) связок
Существуют также причины, по которым начинает болеть конечность, связанные с поражениями связок и сухожилий. Среди них можно выделить:
- Фасциит подошвы. Характеризуется воспалением в фасции, появляется во время интенсивных нагрузок. Боль появляется в утреннее время, после пробуждения. В том случае, если воспалительные реакции в пяточных костях длятся долго, начинает развиваться пяточная шпора.
- Воспалительный процесс в пяточном сухожилии (тендинит) тоже может спровоцировать развитие интенсивно выраженных болевых ощущений. При этом локализация их, зачастую, внешняя сторона ступни и пятки. Такой недуг сопровождается усилением восприимчивости кожного покрова в пораженном участке, подвижность стопы нарушается. Причины такого заболевания – микротравмы, длительное нахождение в вертикальном положении либо продолжительная ходьба, определенные болезни костного аппарата.
- Воспалительный процесс в связках протекает на фоне интенсивных болевых ощущений. Локализация их при этом не только боковая часть, но и голень, середина подошвы. Причины такого явления – микротравмы во время компрессии или нагрузки на кость стопы, инфекционные процессы в тканях, сухожилиях и связках.
К терапевтическим мероприятиям относят:
- массаж;
- лечебная гимнастика;
- ортопедические повязки и другие изделия;
- медикаментозные анестезирующие и противовоспалительные препараты.
Воспалительный процесс в ступне может быть охарактеризован, как артрит либо артроз. Первое заболевание имеет разные причины возникновения. Также существует большое количество разновидностей такого недуга (ревматоидный, реактивный, подагрический).
Такие патологические состояния сопровождаются определенными клиническими проявлениями:
- изменение окраса кожного покрова;
- отечность;
- местная гипертермия;
- припухлость;
- хромота.
Если поражение обширное, боль с внутренней стороны стопы переходит и на наружную сторону.
Артроз – являет собой большую группу патологических процессов в суставах, которые характеризуются разрушительными реакциями и воспалениями в околосуставных тканях. На их фоне возникает дисфункция в микроциркуляции кровяной жидкости и нарушение в оттоке лимфы. Поскольку человек старается по максимуму снять нагрузку с больного сустава, перекладывая ее на внешнюю сторону ступни. Итогом становится быстрое утомление связок и болевые ощущения на наружной стороне подошвы.
При наличии таких патологических процессов необходимо постоянно находится под наблюдением у доктора, поскольку для заболеваний характерны периоды вспышек и ремиссий. После посещения специалиста, им назначается схема лечения. Обычно это консервативные методы, физиотерапевтические процедуры на конечности, нестероидные противовоспалительные средства, при необходимости назначается гормональная терапия, если диагностируется инфекционный процесс, применяются антибактериальные препараты.
При обострении подагрического артрита боль прочие симптомы купируются с помощью мероприятий, задачей которых является выведение излишка мочевой кислоты из организма. Иногда доктором рассматривается целесообразность назначения хирургического лечения. Независимо от того, что именно стало причиной патологии и боли в стопе, важно не прибегать к самолечению, пытаясь устранить только симптом.
Повреждение связок происходит в основном при подворачивании ноги внутрь или неудачном падении на стопу. При растяжении или частичном разрыве сверху стопы образуется отек, нога болит как при движениях, так и в состоянии покоя. Болевой синдром имеет ноющий характер.
Сразу после травмы желательно приложить лед к пораженному месту минут на 20, чтобы предотвратить появление гематомы и уменьшить отечность. Затем ногу в голеностопном суставе зафиксировать эластичным бинтом, и меньше ходить.
При полном разрыве связок нога отекает слева и справа от голеностопного сустава, а также в подошвенной области. Лечение разрывов заключается в хирургическом сшивании волокон путем надреза в месте повреждения.
В ряде случаев разрыв связок осложняется гемартрозом, когда в суставе скапливается кровь. Тогда больному делают пункции, а затем накладывают гипс для полного обездвиживания голеностопа.
Повреждение связок, даже в случае растяжения – очень болезненное явление, полное заживление занимает примерно 2-3 недели, однако прогноз практически всегда благоприятный
Возможные заболевания
Неудобная обувь
Одновременно банальный, но и довольно опасный источник боли в стопе. Очень мало людей при выборе обуви соблюдают ее соответствие ортопедическим особенностям своей стопы, что приводит к ее деформации и последующим болям. Примечательно то, что при сильном несоответствии обуви можно получить травмы, вроде растяжений или переломов. При игнорировании проблемы можно вызвать развитие повреждения связок, суставов и даже позвоночного столба. Симптомы, характер боли Узнать о несоответствии подобранной пары обуви можно во время ее ношения, испытывая дискомфорт при ходьбе или стоянии. Также к основным симптомам относят сильную усталость боковой части стопы после снятия пары обуви, ноющую боль, усиливающуюся к вечеру.
Задайте свой вопрос врачу-неврологу бесплатно Ирина Мартынова. Закончила Воронежский государственный медицинский университет им. Н.Н. Бурденко. Клинический ординатор и невролог БУЗ ВО \»Московская поликлиника\».Задать вопрос>>
При травмах характер боли острый, режущий, сковывающий движения.
Диагностика Проблема не подразумевает особых методов диагностики, а ее обнаружение основывается на собственном наблюдении пациента. Лечение Основной способ лечения – смена неудобной пары обуви на ортопедическую. В некоторых случаях можно воспользоваться обезболивающими мазями. Не забывайте также, что после лечения возврат к этой обуви вернет дискомфорт, но уже с новой силой.
Растяжения
Повредить связочный аппарат может каждый, для этого не нужно быть спортсменом, испытывающим серьезные нагрузки на стопу.
Мнение эксперта
Филимошин Олег Александрович
Врач-невролог, городская поликлиника г. Оренбурга. Образование: Оренбургская государственная медицинская академия, Оренбург.
Обычному человеку достаточно неудачно поставить стопу и подвернуть ее или неудачно упасть, чтобы получить вывих.
Симптомы, характер боли Легкая степень характеризуется ноющей и тянущей болью, появляющейся в момент покоя. При движении больной может не испытывать проблем или ощущать небольшой дискомфорт. Средний уровень растяжения означает надрыв связок, появляется сильная боль в стопе сбоку с внешней стороны, чаще при ходьбе. Пациент с трудом наступает на стопу, она может опухать, при наличии гематомы кожа приобретает багровый оттенок. Сильные растяжения нередко сопровождаются разрывом связок и сильнейшей болью, способной вызвать потерю сознания.
Нога опухает, появляется гематома, пропадает возможность встать на стопу или пошевелить ею.
Диагностика Прежде всего, проводится рентгенологическое исследование, которое исключает наличие трещин кости или переломов. Дальнейшая диагностика основывается на пальпации и сборе анамнеза. Лечение При легких и средней тяжести повреждениях рекомендуют ограничить подвижность, фиксируют стопу и назначают ряд препаратов, стимулирующих заживление поврежденных тканей. При разрывах связок обязательным является оперативное вмешательство, иначе стопа потеряет свою функциональность, а человек станет инвалидом.
”Усталостные” переломы
Такие травмы — это трещины у пятки, ладьевидной и плюсневой кости. В отличие от большинства других травм, усталостные переломы являются результатом долгих нагрузок, а не короткого, но сильного напряжения. Зачастую такие переломы беспокоят спортсменов, чья деятельность связана с постоянными нагрузками на стопы, и простых людей, активно увлеченных занятиями спортом. Стрессовые переломы появляются не сразу, а вследствие длительных нагрузок.
Человек, пытаясь достичь намеченной цели, не дает ногам должным образом отдохнуть, поэтому костная ткань медленно, но неизбежно начинает разрушаться.
Проявления Прежде всего дискомфорт появляется на внешней стороне стопы и у пятки. Боль несильная, беспокоит по большей части ближе к вечеру или к концу тренировок. Со временем дискомфорт усиливается, исключая возможность полноценно продолжать спортивные нагрузки. Диагностика Как и любой другой перелом, усталостный перелом диагностируется с помощью рентгена. Однако на ранних этапах рентген не способен показать отклонения в целостности костной ткани, поэтому используют более точные томографические исследования. Лечение Кроме классических препаратов кальция, витаминных комплексов и специальных вставок для обуви, совпадений с лечением обычных переломов нет. Усталостные переломы не подразумевают исключение подвижности поврежденного участка.
Пациент может продолжить спортивные занятия с некоторыми ограничениями и увеличенным временем отдыха.
Синдром кубовидной кости
Болезнь характеризуется переломом кубовидной кости. Перелом может возникнуть как по причине прямого воздействия, так и при ее сдавливании расположенными рядом костями.
Симптомы Дискомфорт при передвижении в утренние часы и при нагрузках, в основном болит стопа сбоку. Нарушения работы мышц, сковывающая боль, нарушения работы стопы. Диагностика Для выявления проблемы первым делом собирают анамнез, затем отправляют больного на рентген.
Если после этого не было выявлено возможных отклонений, можно провести дополнительную компьютерную или магнитно-резонансную томографию.
Лечение Тугая повязка или гипс на стопу, ограничение подвижности. Для снятия боли назначают обезболивающие препараты на основе диклофенака. Чтобы обеспечить быструю заживляемость кости, назначают препараты кальция.
Подошвенный фасциит
Воспаление фасций стопы, появляющееся как результат чрезмерных нагрузок. Чаще всего беспокоит спортсменов, людей с чрезмерной массой тела и пациентов с прогрессирующей формой плоскостопия.
В запущенных формах переходит в пяточную шпору.
Симптомы Обнаружить болезнь можно по болям на внешней стороне стопы и сбоку, усиливающимся по утрам, при этом воспаляется подошва. Со временем появляется сильная хромота, которая при отсутствии лечения может превратиться в хроническую. Лечение При диагностировании подошвенного фасциита пациенту назначают стандартное лечение, включающее курс массажа, ношение специальной обуви, медикаментозные препараты, а также специальные упражнения, направленные на облегчение последствий нагрузок на стопу.
Лигаментит
Воспаление связок, возникающее по причине травмирования тканей. Источником травмы могут быть инфекции, резкие непривычные или длительные спортивные нагрузки. Симптомы Острая, резкая боль наружной части стопы и голеностопного сустава. Диагностика Сбор анамнеза, которого бывает достаточно для установления истинной причины заболевания. Однако для более точного определения проблемы врач может назначить дополнительно КТ или МРТ. Лечение Консервативное лечение заключается в посещении ряда физиотерапевтических процедур, ношении специальной обуви, а также местном лечении различными мазями и гелями.
Тендинит
Воспаление или повреждение сухожилия.
Вызвать развитие заболевания может инфекция, повреждение при физических нагрузках, физиологические особенности стопы.
Симптомы Первые признаки — боль в области пятки, появляющаяся при ходьбе. Затем редкие неприятные ощущения переходят в постоянные, наблюдается воспаление кожного покрова подошвы. Болевые ощущения исчезают при отсутствии нагрузки на стопу, иногда болезнь сопровождается ростом температуры тела. Лечение Оптимальным считается прекращение спортивных нагрузок и ограничение подвижности стопы путем фиксации эластичной повязкой. Длительность лечения — до 50-ти дней, после этого периода можно постепенно восстанавливать свою активную деятельность.
Помимо ограничения подвижности, лечение включает в себя прием противовоспалительных лекарств, анальгетиков, антибиотиков, а также посещение ряда физиотерапевтических процедур.
Артрит
Одной из причин болей на внешней части стопы сбоку может быть артрит. Это воспаление суставов, которое провоцируется множеством факторов — от физиологических особенностей организма и системных заболеваний до переохлаждения, беременности или физических нагрузок. Симптомы Прежде всего это боль в ступне с нарушением ее функциональности. Боль может возникать при нагрузках, в неподвижном состоянии.
Помимо этого, появляются воспаления, поднимается температура тела, в некоторых случаях болезнь сопровождается общим недомоганием.
Диагностирование Диагностика артрита основывается на совокупности клинической симптоматики, физикальных признаков, рентгенологических данных, результатов цитологического и микробиологического анализа синовиальной жидкости. Лечение Основой являются противовоспалительные препараты и лекарства, купирующие основные симптомы. В зависимости от источника недуга могут назначаться и другие препараты — антибактериальные, антибиотики и т. д. После восстановления подвижности стопы и избавления от неприятных ощущений пациентам прописывают ношение специальной обуви.
Самые запущенные случаи заболевания подразумевают оперативное вмешательство.
Артроз
Дегенеративное заболевание, характеризующееся разрушением хряща суставной сумки, воспалением околосуставных тканей и нарушением кровообращения. Симптомы Описанные повреждения вызывают боль, которая стихает спустя некоторое время после прекращения любого рода нагрузок. В нормальном состоянии дискомфорт при передвижении может не ощущаться, а проявляться только после нестандартных нагрузок.
Боль с внешней стороны стопы объясняется тем, что пациент, пытаясь перенести нагрузку с сустава, задействует лишь часть стопы, которая неспособна незаметно переносить подобные действия.
Лечение При наличии инфекции назначаются антибиотики, а в ряде запущенных случаев – нестероидные противовоспалительные препараты и гормоны. В остальных случаях лечение заключается в ряде физиотерапевтических процедур, призванных снизить стрессовое воздействие на ослабленный сустав.
Другие причины
Мы рассмотрели только начало длинного списка болезней, способных вызвать боль в стопе. Также это могут быть внутренние мозоли. Иногда дискомфорт вызывает сращение костей, появляющееся после 20 лет. Бывали случаи, когда пациент долгие годы жил с плоскостопием и только в сознательном возрасте, после появления болей и посещения врача узнавал о существующей проблеме. Сюда же можно отнести врожденные деформации, повреждения нервной ткани и другие болезни. К рассматриваемой области относятся костные ткани, связки, суставы, хрящи, кровеносная система и т. д.
Заболевания этих систем прямо или косвенно могут влиять на дискомфорт внешней части стопы, именно поэтому диагностировать проблему сможет только врач и только после ряда процедур — от биохимических анализов тканей и жидкостей до рентгена и томографических исследований.
Усталостные, стрессовые переломы костей пятки
Усталостный перелом может быть не только кубовидной, но двух других костей стоп – ладьевидной и плюсневой. Как правило, возникают такие переломы вследствие длительной физической нагрузки на ноги. Получить травму можно в результате активных и продолжительных тренировок, особенно при условии отсутствия полноценного отдыха.
При стрессовых переломах может болеть наружная часть стопы или внутренняя, ближе к пятке. Болевой синдром постепенно усиливается, и продолжать спортивные тренировки можно только в щадящем режиме. Для лечения травмы применяются ортопедические вкладки для обуви, препараты кальция и витамины.
Боли в ступне у бегунов — причины и профилактика
Боли в стопе могут появиться в результате использования неудобной обуви. Обычно, если боль прошла быстро, повода для беспокойства нет.
Однако если она является постоянной – то это может указывать на серьезное заболевание. Следует незамедлительно обратиться к врачу, неврологу или ортопеду, который сможет поставить соответствующий диагноз.
Боль может проявляться как во всей ступе, так и в отдельной ее части: на пятке, в пальцах, в ахилловом сухожилии.
Каждый день стопы наших ног выдерживают колоссальную нагрузку, а если человек , к тому же, занимается спортом, нагрузка еще больше возрастает. Так, при беге стопа делает толчки от земли или пола мягкими, а также помогает не только отталкиваться, но и держать равновесие.
В этой статье мы разберем, почему могут болеть ступни ноги и как с этим можно бороться.
Как проводится терапия
При появлении первых симптомов не стоит тянуть с визитом к доктору. После первичного осмотра назначаются дополнительные обследования, которые могут включать в себя рентгенографию, допплерографию сосудов, компьютерную томографию, магнитно-резонансную терапию, ультразвуковое исследование, капилляроскопию. После определения причины появления болезненных ощущений назначается подобранная врачом схема терапии.
Применяются лекарственные средства, задачей которых является купирование болевого синдрома, снятие воспалительного процесса. Также применяются физиотерапевтические процедуры, направленные на снятие боли. Назначается массаж, комплекс лечебных упражнений, которые подбираются строго в индивидуальном порядке, после выявления конкретного заболевания.
Дополнительно врачом назначается ношение специального бандажа, который фиксирует положение стопы, не дает сместиться, растянуться либо травмироваться. Такие изделия являются незаменимыми помощниками во время ходьбы и прочей двигательной активности. Их вид подбирается строго в индивидуальном порядке квалифицированным специалистом.
Причины
Далее рассмотрены основные патологические состояния, на фоне которых может возникать болезненность в стопе сбоку с внешней стороны.
Шпора на пятке
Когда болит стопа сбоку с внешней стороны, то существует вероятность того, что на пятке образовался костный заостренный нарост. При пяточной шпоре травмируются близлежащие ткани, появится болезненность с воспалением, постепенно самочувствие больного будет ухудшаться. Наросты на пятке формируются из-за:
- неправильно подобранной обуви;
- постоянной перегрузки стоп;
- длительного стояния на ногах;
- избыточной массы тела.
Вальгусная деформация
Искривление плюснефалангового сустава большого пальца ноги называют вальгусной деформацией. При отклонении сустава наружу головка первой плюсневой кости образует шишку, которую называют «косточка на ноге».
Деформироваться может и левая, и правая нога, при этом размер утолщений может отличаться. Болезненные ощущения появляются во время ходьбы или долгого стояния, усиливаются к вечеру. В зависимости от стадии болезни и степени искривления интенсивность боли может быть разной.
Осложнением вальгусной деформации может быть хронический бурсит или болезнь Дейчлендера (маршевая стопа), при которой костная ткань частично рассасывается и заменяется новой.
Консервативное лечение вальгуса включает физиотерапевтические процедуры, лечебные упражнения и использование различных ортопедических приспособлений – шин, супинаторов и межпальцевых прокладок.
В запущенных случаях проводится операция, которая может быть нескольких видов:
- экзостэктомия. Удаляется часть головки плюсневой кости;
- остеотомия. Частичное удаление фаланги пальца либо кости плюсны;
- артродез. Создание костного анкилоза (неподвижности) сустава в анатомически правильном положении;
- артропластика;
- имплантирование искусственного сустава.
Хирургических методик лечения вальгусной деформации насчитывается более сотни, здесь представлены лишь наиболее распространенные из них.
Начальные стадии вальгуса хорошо поддаются лечению консервативными методами
В каком случае немедленно к врачу?
Если болит внешняя сторона стопы, но вызывает лишь дискомфорт, то задуматься о посещении врача стоит на 2-3 сутки, при этом исключив чрезмерные нагрузки и другие нестандартные ситуации, способные провоцировать болевой синдром.Если же вы получили травму или без видимых причин ощутили острую, сковывающую боль, то следует незамедлительно посетить врача.
Если вас беспокоит тянущая или ноющая боль более 2-х суток, то важно провериться, исключив ряд заболеваний, в противном случае существует риск потерять подвижность стопы и стать инвалидом.
Естественный вопрос при возникновении болезненных явлений в стопе: какой доктор сможет помочь? В этом случае возможны два варианта: обращение к вертебрологу или визит к травматологу. Чаще всего второй вариант более доступен. В некоторых случаях нужна консультация хирурга или ревматолога в зависимости от причины развития болей. Необходимо быть готовым к тому, что доктора заинтересует:
- срок возникновения болей;
- характер болезненности: резкая, постепенно нарастающая или стреляющие боли;
- место болей: посередине стопы, сбоку.
- взаимосвязь с физическими нагрузками, ее возникновение при ходьбе или в покое;
- присутствие болей в ночное время;
- наличие недавних травм;
- наличие хронических заболеваний, например, инфекционной природы.
Тарзальная коалиция
Сращивание двух или нескольких костей стопы называют тарзальной коалицией. Заболевание нередко протекает бессимптомно, и встречается лишь у 1% людей. В большинстве случаев наблюдается слияние таранной и пяточной костей, но возможна также пяточно-ладьевидная и таранно-ладьевидная коалиция.
Костная аномалия данного типа является врожденной, и проявляется преимущественно в подростковом возрасте следующими симптомами:
- спазм икроножных мышц;
- частые растяжения связок то в левом, то в правом голеностопном суставе;
- ограничение подвижности стоп;
- плоскостопие.
Иногда тарзальная коалиция проявляется во взрослом возрасте, в этом случае обязательно нужна консультация специалиста, поскольку возможно развитие дегенеративных процессов в суставах.
В некоторых случаях прибегают к оперативному вмешательству – резекции коалиции либо подтаранному артродезу.
Болит ступня после бега
- Острые травмы возникают при падении или неаккуратном повороте стопы. В результате повреждаются мышцы или связки, что и вызывает острую боль.
К сожалению, от подобных травм не застрахован никто, поэтому мы рекомендуем вам быть внимательными, выбирать для пробежек ровную нескользкую трассу и следить за постановкой стоп при беге. Новичкам не стоит бегать по слишком твердой, холмистой или неровной поверхности.
- Хронические травмы возникают постепенно при участии одного или нескольких травмирующих факторов, которые спортсмен игнорирует. Хроническую травму характеризует постоянная боль во время движения, часто тупая боль сохраняется и в отсутствии нагрузок.
Причиной хронических травм могут стать слишком высокие нагрузки, интенсивные тренировки при недостаточном восстановлении, неподготовленность мышц, связок и суставов, неудобная обувь и особенности строения стопы.
- Подошвенный фасциит
Подошвенная фасция – это полоска соединительной ткани, которая соединяет плюсневые и пяточную кости, образуя свод стопы. Она поддерживает стопу и служит амортизатором при ходьбе и беге. Воспаление подошвенной фасции называется подошвенный фасциит. Его причиной чаще всего становится бег по твердой поверхности, обувь с жесткой подошвой, а также интенсивный бег в гору.
- Перенапряжение в переднейчасти стопы
Это травмы сухожилий, связывающих мышцы голени и стопы с костями предплюсны и пальцев. К таким травмам могут приводить интенсивные беговые тренировки по неровной или холмистой местности.
- Воспаление ахиллова сухожилия (тендениты)
Ахиллово сухожилие соединяет пяточную кость с мышцами голени. Его воспаление называется тенденитом ахиллова сухожилия. Как правило, оно возникает в результате резкого увеличения объема тренировок, а также после бега по холмистой неровной поверхности.
Чтобы избежать травм и сохранить свои стопы в здоровом состоянии, придерживайтесь следующих рекомендаций:
- Постепенно наращивайте объемы тренировок, давайте мышцам, суставам и связкам привыкнуть к нагрузкам. Отводите достаточное количество времени на восстановление.
- Выбирайте для пробежек трассы с ровным комфортным покрытием: гравиевые дорожки, тропинки в лесу или парке. На первоначальном этапе избегайте жестких бетонных и асфальтовых дорожек, а также неровных холмистых трасс.
- Выбирайте удобную обувь с мягкой подошвой. Избегайте узкой и слишком жесткий обуви.
- Укрепляйте и развивайте стопы и голени. В ноябрьском челлендже #ПробегуМарафонЧерезГод мы давали несколько упражнений, которые помогут вам сохранить здоровье ваших стоп.
Ваджрасана – поза молнии
- Сядьте на колени в позу йоги Ваджрасана с прямой спиной.
- Разогните голеностопы, чтобы они смотрели четко назад. Посидите так 1-2 минуты.
- Согните голеностопы и обопритесь на пальцы ног. Посидите так еще 1-2 минуты.
- Оцените гибкость ваших голеностопных суставов.
Важно выполнять упражнение медленно, в позу входить спокойно, прислушиваться к ощущениям. Пятки под ягодицами должны быть направлены вверх, а не разведены в стороны.
Раскатываем стопы
- Возьмите массажный ролик для стоп или обыкновенный теннисный мячик.
- Снимите обувь и носки.
- Тщательно раскатайте и растяните подошву каждой стопы.
Состояние стоп влияет на всю заднюю поверхность ноги: мышцы голени, задней поверхности бедра, ягодиц. То есть, все те мышцы, которыми мы бежим. Чтобы в этом убедиться, проделайте простой тест: наклонитесь вперед с прямыми коленями и посмотрите, насколько глубокий у вас наклон. Кто-то достанет до пола пальцами, кто-то положит ладоши, а кто-то вообще не достанет. После этого раскатайте и растяните стопы, как показано в упражнении. Повторите наклон – его глубина должна увеличиться!
Фут-рестлинг
- Найдите партнера для упражнения.
- Разуйтесь. Сядьте на пол напротив друг друга.
- Упритесь правой стопой в правую стопу партнера.
- Старайтесь перебороть партнера, завалив его стопу на бок.
Все ведь знают, что такое арм-рестлинг? А в этом упражнении мы занимаемся фут-рестлингом! Важно делать упражнение без обуви – так вы лучше чувствуете свои стопы и стопы партнера. Осознанно двигайте стопами с усилием, чтобы «перебороть» партнера, но не перестарайтесь.




















