Рентгенография (синоним: рентгенологическое обследование) – высокоинформативный метод исследования внутренней части тела. В клинической практике рентгенографию используют для выявления поражений костей, суставов травматической и нетравматической этиологии. В статье мы разберем рентген тазобедренного сустава, что показывает и когда проводят.
Рентгенография
Внимание! В международной классификации болезней 10-го пересмотра (МКБ-10) травмы локтя и предплечья обозначаются кодами S50-S59.
Место рентгенографии в диагностике заболеваний ТБС
В современной медицине популярны высокоточные визуализирующие методы исследования (МРТ, КТ). Врачи используют их все чаще, пренебрегая традиционной рентгенографией. На прием к травматологам нередко приходят пациенты, имеющие на руках только результаты МРТ, но не имеющие рентгенограммы. Такая ситуация выглядит странно и нелогично.
 КТ.
Поскольку рентгенография — недорогой метод исследования, ее используют на первичном уровне медицинской помощи. Семейный врач или терапевт имеет право назначить пациенту только рентген. На КТ и МРТ больного могут направлять травматолог, ортопед, хирург, другой узкий специалист (если это необходимо).
Если вы впервые обратились к врачу с жалобами на боли в ТБС, а он сразу же назначил вам МРТ – не спешите выкладывать круглую сумму за дорогое обследование. Подобное назначение обычно неоправданно. Вам лучше сходить на консультации к другим специалистам.
Преимущества рентгенографии:
- низкая цена;
 - доступность;
 - быстрота обследования;
 - возможность наблюдать патологию в динамике;
 - безопасность при грамотном назначении.
 
Рентгенография позволяет диагностировать многие заболевания и травматические повреждения ТБС. Более точные визуализирующие методы исследования обычно требуются для уточнения диагноза и выбора тактики лечения. Иногда рентгенография бессильна в диагностике незначительных изменений в суставе, сопровождающихся болевым синдромом. Поэтому при сильных болях неизвестной этиологии пациентам могут назначать МРТ, КТ или УЗИ.
В чем основные различия между КТ и МРТ? Магнитно-резонансная томография позволяет выявить повреждения суставной капсулы, связок и мягких тканей. На компьютерных томограммах хорошо визуализируются мелкие костные дефекты, которые не видны на рентгене.



Противопоказания для проведения
Рентгенологическое исследование не рекомендуется проводить на любом сроке вынашивания ребенка. А при проведении процедуры с применением контраста к противопоказаниям относятся:
- повышенная чувствительность к препаратам, содержащим йод,
 - выраженная почечная или печеночная недостаточность,
 - серьезные заболевания сердечно-сосудистой системы,
 - активная форма туберкулеза,
 - общее критичное состояние пациента.
 
Кроме того, при отсутствии веских причин нежелательно проводить рентгенологическое исследование педиатрическим пациентам до 14 лет.
Насколько безопасно обследование
При исследовании ТБС организм получает сравнительно небольшую дозу радиации, которая не превышает 1,5 миллизиверт. Подобное облучение не способно навредить здоровому человеку. Но рентген тазобедренных суставов разрешается делать не чаще 1 раза в 6 месяцев. Беременным рентгенографию можно назначать только в крайних случаях.
Безопасная доза рентгеновского облучения для взрослого здорового человека составляет 3-4 мЗ в в год. 2-2,5 миллизиверта в год каждый из нас получает из внешней среды. Источники радиации — солнечные и космические лучи, почва, еда, вода и даже воздух.
Где можно пройти рентген
Аппаратура для проведения рентгенологического исследования имеется в каждой городской поликлинике. Как правило, врач назначает обследование, пациента ставят в очередь, и он в определенное время приходит на обследование.
Можно сделать рентгеновский снимок и в частной клинике, там не нужно будет стоять в очередь, но придется заплатить. Такая процедура обойдется примерно в 1000 рублей. Если же потребуется введение контрастного вещества, то сумма может удвоиться.
В ситуации, когда пациент не в состоянии дойти до клиники, например, при переломе шейки бедра, возможен вызов специалиста на дом.
В государственных клиниках травматолог обычно ставит диагноз по внешним признакам. И только в крупных медицинских центрах имеется оборудование, которое можно перевозить, чтобы проводить обследование в домашних условиях. Оборудование дорогостоящее, поэтому малое число клиник его имеют, да и процедура обойдется пациенту минимум в 5000 рублей.
Возможности рентгенографии
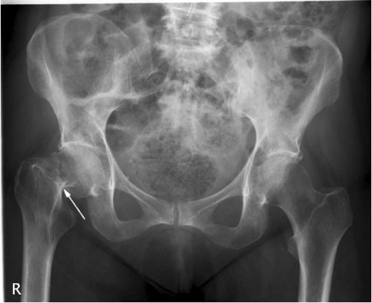
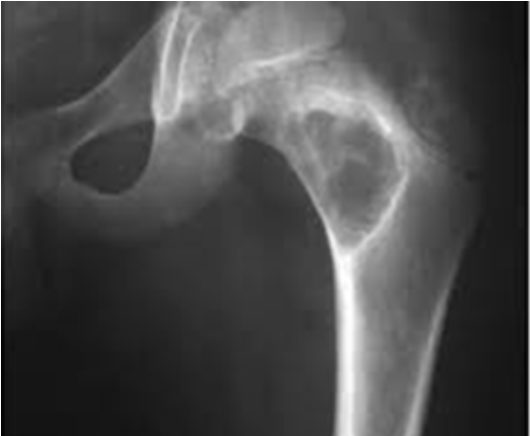
В ортопедии и травматологии рентгенологическое исследование используют для диагностики деформирующего коксартроза, артритов, асептического некроза головки бедренной кости, костных новообразований, вывихов, переломов шейки бедра и т. д. Рентгтенография позволяет подтвердить наличие патологии, но не всегда дает достаточно информации. Нельзя, например, получить послойное изображение тканей, из-за чего врачи не могут определить точную локализацию патологических изменений.
Симптомы и синдромы, которые выявляют с помощью рентгенографии:
- сужение суставной щели. Признак дистрофических изменений суставных хрящей. Этот симптом выявляют у больных с деформирующим остеоартрозом и хроническими артритами;
 - остеопороз. Снижение плотности костей. Характеризуется уменьшением количества костных балок в единице объема костной ткани. Патология развивается в пожилом возрасте. Сам остеопороз протекает бессимптомно, но на его фоне зачастую развивается деформирующий остеоартроз и переломы шейки бедра;
 - деструкция. Возникает вследствие инфекционного процесса. Характеризуется разрушением участков кости с их дальнейшим замещением гноем, грануляциями или опухолевой тканью. Наличие деструкции может указывать на парапротезную инфекцию, остеомиелит, злокачественные новообразования;
 - некроз. Неинфекционное омертвение костной ткани. Чаще всего участки некроза появляются в области головки бедренной кости. Причина – возрастное ухудшение кровотока и обмена веществ.
 
Выявление того или иного признака на рентгенограмме косвенно указывает на определенную патологию. Часто для постановки диагноза врачу хватает данных анамнеза, осмотра и рентгенографического исследования.
Многие из вас интересовались, что лучше – рентген или МРТ тазобедренного сустава? Магнитно-резонансная томография дает больше возможностей визуализации, а доза облучения при обследовании практически равна нулю. Но МРТ является недешевым методом. В Москве стоимость обследования колеблется в пределах 3000-7000 рублей.
Положительное и отрицательное
Процедура имеет свои плюсы и минусы. В некоторых случаях такой вид диагностики помогает точно определить причину недуга: травмы, вывихи, переломы. Если же говорить о раннем обнаружении некоторых заболеваний тазобедренного сустава, например, артроза, то выявить патологию на начальной стадии развития не получится.
Чтобы увидеть на снимке разрушения костной ткани, они должны составлять минимум 20-30%. Однако рентгенография остается незаменимым и доступным способом обследования.
Плюсы процедуры
К положительным характеристикам относятся:
- недорогой метод диагностики: стоимость рентгена варьирует от 500 до 1000 руб.;
 - не нужно тщательно готовиться;
 - возможность проведения анализа динамики выздоровления сочленения по серии сделанных снимков;
 - безболезненность процедуры;
 - удобен для быстрой диагностики;
 - простота и доступность — можно пройти обследование в любом медицинском учреждении.
 
Минусы диагностики
- К основным недостаткам рентгена относится вредное ионизирующее излучение. Минимальная дозировка не принесет вреда организму, однако превышать норму не следует.
 - У некоторых категорий больных процедура может спровоцировать тяжелые осложнения.
 - Также к минусам диагностики относится невозможность осуществления полной и точной оценки состояния тазобедренного сустава.
 - Исследуемая область плохо видна на снимках из-за расположенных рядом мышечных тканей, поэтому изображения накладываются друг на друга.
 - Для более точного исследования нужно вводить контрастное вещество.
 
Таким образом, данный способ менее информативен по сравнению с другими современными методами диагностирования, однако незаменим для срочной постановки диагноза.
Доза облучения и ошибки
Ионизирующее излучение представляет угрозу для здоровья при частых процедурах. Поэтому рентген необходимо делать как можно реже. Диагностику сочленений таза данным способом допустимо проводить максимум 5 раз в месяц. Такое количество снимков делают только при серьезных патологических нарушениях, требующих постоянного мониторинга.
Ошибки в постановке диагноза, к сожалению, встречаются нередко. Это может быть связано с небольшим опытом доктора-диагноста или с его низкой профессиональной подготовкой. Помимо прочего, погрешности бывают из-за расхождения потока лучей, посылаемых на тазобедренный сустав.
В результате круглый объект может получиться овальным на пленке, и искажаются его размеры. Изображение удлиняется, если область исследования расположена на краю поля снимка. Все эти нюансы должен учитывать врач во время расшифровки материала.
Как делают рентген тазобедренного сустава
Чтобы получить исчерпывающие сведения о состоянии пациента, ему делают обзорную рентгенограмму таза в прямой проекции. Проведение рентгенографии только одного сустава является ошибкой. Для полноценного анализа рентгенологу необходимо видеть снимки обоих ТБС. Часто выявить патологию ему помогает именно сравнение.
- Подготовка. Перед рентгеном тазобедренного сустава пациенту не нужна специальная подготовка. В кабинете рентгенолога больному требуется только снять с себя одежду и лечь на стол в то положение, которое укажет врач.
 - Проведение исследования. Для получение обзорной рентгенограммы пациента укладывают на спину. Таз исследуемого не должен наклоняться и поворачиваться. Чтобы получить правильное отображение шеечно-диафизарного угла, рентгенолог разворачивает обе стопы больного кнутри на 15 градусов. Установив рентгеновскую трубку, он выходит из комнаты и делает снимок.
 
Рис 1. Укладка пациента при выполнении обзорной рентгенографии в прямой проекции.
- а — положение исследуемого и расстояние до рентгеновской трубки;
 - b — направление луча при исследовании.
 
Помимо обзорного снимка, пациенту также делают рентгенографию больного сустава в боковой проекции. Существует несколько методик его получения. Выбор какой-либо из них зависит от того, какие структуры сустава требуется визуализировать. Исследование может проводиться как стоя, так и в лежачем положении.
Процедура и ее преимущества
Современные медицинские технологии предоставляют большой простор для выбора подходящей методики исследования таза. При этом существует негласное мнение, что использование рентгена для этих целей несколько устарело. Однако, рентгенография костей таза может посоперничать с другими методами по целому ряду факторов, и имеет следующие преимущества:
- общедоступность и низкая стоимость;
 - быстрое получение результата (снимка);
 - малоинвазивность;
 - высокая информативность;
 - низкая лучевая нагрузка на пациента;
 - простая подготовка.
 
Эти особенности и делают рентгенографию предпочтительной для исследования структур таза.
Показания для рентгена костей таза
Рентген костей таза проводится в следующих случаях:
- При наличии симптомов, характерных для травм или переломов.
 - При наличии повреждений и патологий суставов.
 - При подозрении на доброкачественные или злокачественные образования.
 - При подозрении на метастазирование из опухолей другой локализации.
 - Для диагностики болезней костной системы.
 
Как и другие медицинские процедуры, рентгенологическое исследование проводится при наличии показаний и по направлению врача.
Разновидности рентгена малого таза
Рентген малого таза широко применяется для исследования органов мочеполовой системы и системы половых органов у женщин, при этом чаще всего прибегают к использованию гистеросальпингографии и пельвиграфии. Что это за исследования:
- Гистеросальпингография – это исследование матки и маточных труб. В них вводится рентгенконтрастное вещество, делается один или несколько снимков. По полученным снимкам врач может оценить состояние внутренних половых органов женщины и диагностировать бесплодие (при непроходимости маточных труб) или другие патологии.
 - Пельвиграфия позволяет выявлять доброкачественные или злокачественные опухолевые поражения, спаечные процессы в стенках органов малого таза. Перед исследованием в органы, под анестезией, вводится газ, что позволяет лучше визуализировать исследуемые образования.
 
Расшифровка результатов
Получив снимки, рентгенолог анализирует и описывает их. Записав результаты, он отдает рентгенограммы и заключение пациенту на руки. Тот идет с ними на консультацию к травматологу или ортопеду. Специалист еще раз анализирует снимки и, учитывая другие имеющиеся данные, определяет диагноз.
При расшифровке рентгена тазобедренных суставов у ребенка необходимо учитывать его возраст. Это нужно, чтобы наличие зон роста и возрастных особенностей строения ТБС не привело к диагностическим ошибкам.
Наиболее частые изменения на рентгенограммах и их описание:
 Вывих ТБС. Головка бедренной кости смещена и выходит на пределы вертлужной впадины.
 Перелом. Имеет вид линии или щели. Чаще всего располагается в области шейки бедренной кости.
 Остеопороз. Проявляется видимым снижением плотности костной ткани. На рентгенограммах принимает вид участков затемнения.
 Некроз. Участок некроза кажется более плотным, из-за чего выделяется на фоне окружающих тканей.
 Деструкция. На рентгенограмме имеет вид костного дефекта. Свежие деструктивные очаги имеют неровные контуры, застарелые – ровные и уплотненные.
 Деформирующий остеоартроз. На ранних стадиях рентгенологические признаки отсутствуют. Позже о патологии говорит сужение суставной щели.
Преимущества исследования
Современные рентгенографические системы позволяют получить снимки изображений высокого качества, сканированные в разных плоскостях. Основным преимуществом метода является скорость проведения диагностики: в зависимости от сложности травмы или другой патологии весь процесс занимает не больше 10 минут. Цифровая передача сигнала ускоряет скорость обработки изображения – этот фактор особенно важен, если нужно срочно понять причину тяжелого состояния больного.
Процедура проводится в комфортных условиях. Современные аппараты могут считывать цифровые снимки с разных плоскостей, без неудобных поз для пациентов (люди располагаются на удобном столе). Благодаря цифровому снимку лечащий врач может без промедления поставить диагноз и начать срочное лечение. Радиационная нагрузка строго регулируется международными протоколами, поэтому здоровью больного, проходящего исследование, ничего не угрожает.
Подготовка к рентгену костей таза
Подготовка к проведению процедуры требует от пациента исключения из рациона продуктов, способствующих газообразованию, проведению очистительной клизмы или приёму энтеросорбентов. Подготовительные мероприятия начинают за 72 часа до проведения диагностики. На этот период времени из рациона исключают молочные продукты, бобовые, свежие овощи и фрукты, а также чёрный хлеб. Диагностику проводят натощак: между последним приёмом пищи и процедурой должно пройти не менее двенадцати часов. Очистительную клизму делают вечером перед днём, когда будет проводиться исследование, и при необходимости — за два часа до него.









